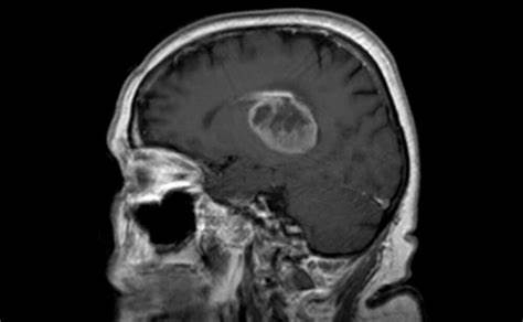
试图寻找该疾病治疗方法的研究人员表示,较致命的脑癌形式卷土重来,因为肿瘤通过招募附近健康组织的帮助来适应治疗。 一项由包括利兹大学专家在内的团队进行的新研究发现...
试图寻找该疾病治疗方法的研究人员表示,较致命的脑癌形式卷土重来,因为肿瘤通过招募附近健康组织的帮助来适应治疗。
一项由包括利兹大学专家在内的团队进行的新研究发现,在治疗的反应中,高级别神经
胶质瘤似乎会重塑周围的大脑环境,可能会与附近的神经元和免疫细胞产生相互作用,从而保护肿瘤细胞并隐藏它们免受身体防御的影响。
研究小组还发现,低级别肿瘤通常会产生一种新的突变,使细胞开始更快地分裂,有可能使它们变成更高级别的形式。
神经胶质瘤脑瘤是少见的,但诊断是毁灭性的,因为目前没有治愈。低级别胶质瘤的存活率高于高级别胶质瘤,但通常会发展为高级别胶质瘤。90%以上的高级别肿瘤患者在五年内死亡。
目前的治疗方法包括手术、放疗和化疗。这些发现表明需要新的药物来补充这些。
利兹大学医学院脑癌生物学副教授露西·斯特德博士是这项研究的英国学者,她说:“大脑是一个由许多不同类型的细胞组成的复杂的器官,脑肿瘤也同样多样和复杂。
“从病人组织中学习是治愈病人疾病的较好方法。这项研究需要努力获取足够的神经胶质瘤样本来为其提供足够的动力,它让我们获得了对这些致命肿瘤如何发展的前所未有的洞察力,以及我们最终可能能够阻止它们的方法。”
来自约克的脑瘤患者苏(Sue)在与疾病斗争了7年后,于2017年9月去世。她结婚50年的丈夫杰夫现在是约克郡脑瘤慈善机构的大使,参加各种活动,为脑癌研究和意识筹集资金。
他对调查结果表示欢迎,他说:“苏勇敢地战斗了7年,没有一句抱怨或自怜的话。这是我的司机。肿瘤的类型和位置使得这是一个很难“解决”的问题。但是现在脑瘤的存活率并不比40年前好,这是一个丑闻。
“从我的经验来看,目前的治疗方法似乎是一刀切,任何形式的专门针对患者的治疗都需是一种改进。
“正在进行的研究对患者及其家属也有好处。它带来了希望。”
研究人员正在调查为什么神经胶质瘤会发展成更高级别的形式,以及为什么它们在治疗后存活并继续生长。
随着时间的推移,他们收集了神经胶质瘤从低级到高级的多个样本,以及治疗前后的样本。然后他们观察细胞是如何变化和适应的,看看他们是否能找到阻止它们的方法,使用新的药物。
这种突变和以前未知的细胞相互作用现在可以用新的药物来阻止肿瘤细胞的发展和适应治疗。通过这种方式,这项研究开辟了新的研究途径,可以为患者提供更合适的药物。
这项研究由杰克森实验室(JAX)的Florine Deschenes Roux讲座教授和作者Roel Verhaak博士以及博士后助理和Jane Coffins Childs研究员一作者Frederick Varn博士领导。
Varn博士说:“通过分析这一大群患者的遗传和转录数据,我们开始了解肿瘤是如何改变以适应标准护理治疗的。
“这项研究表明,并非每个肿瘤都以相同的方式变化。了解这一点将使我们能够在未来针对每位患者的疾病开发更好的治疗方法。”
Verhaak博士说:“玻璃项目已经建立了较大的势头,并且刚刚开始。
“我们正在将患者队列和数据集增加两倍。我们准备多方位剖析耐药过程,并在好转神经胶质瘤患者的预后方面取得重要进展。”
利兹大学参与该国际联盟的部分原因是利兹神经病理学研究组织库的存在,该组织库由约克郡脑瘤慈善机构和奥斯卡儿科脑瘤慈善机构共同资助
- 文章标题:前沿进展:研究深入了解较致命的脑癌是如何复发的?
- 更新时间:2022-09-14 21:05:02
-
引言:70岁男性心衰急诊入院后,又突发呼吸困难,端坐呼吸,咳粉红色泡沫痰,后出现...
2022-08-09 15:53:52
-
一、新型EGFRvIII特异性CAR-T细胞可合适清除人类胶质母细胞瘤 2021年,在刊登在《Clin Tra...
2021-09-15 10:47:25
-
摘要:放疗是对儿童生长发育的一道硬伤,实例和医学研究深入解读质子治疗儿童肿瘤...
2020-07-16 14:18:46
-
由于丘脑位置较深,涉及许多神经回路和功能,并被许多高功能区域包围,因此手术与随...
2022-08-09 23:53:10
-
法国居里癌症研究所是质子治疗的先驱。其质子治疗设备安装在奥赛工厂,是法国的两套...
2020-07-08 14:02:43
-
几乎全部丘脑损伤都可以通过aTCi或TCTV途径通过四个游离丘脑表面(侧脑室、小脑幕、脑...
2022-08-11 22:07:02
-
假如你的面前有两个孩子,他们都罹患低级别胶质瘤,但一位孩子肿瘤体积巨大,一位则...
2026-02-04 10:57:38
-
脉络丛肿瘤(CPTs)是一种罕见的来源于脉络膜丛上皮的肿瘤,其中,脉络丛乳头状瘤(CP...
2024-12-02 16:51:50
-
颅内肿瘤的局部治疗包括局部应用或局部传递的概念,分别。除了手术切除是较明显的局...
2021-06-01 11:57:01
-
一名1岁男童,近3个月来有头颅增大及易怒病史,偶有呕吐。无发热、视觉障碍、语言障...
2022-06-14 17:13:34
-
胶样囊肿严重吗? 早上7点,他遭遇了一场车祸,却奇迹般地没有明显外伤。然而,到了...
2025-11-24 14:44:19
-
James T.Rutka(鲁特卡)教授曾任世界神经外科学院院长,目前是世界神外专业杂志《Jour...
2025-10-26 15:00:00
-
素来以生长迅速、预后差、复发程度较高而著称的 胶质母细胞瘤 (GBM)是当之无愧的致...
2020-04-14 20:11:21
-
INC国际儿童脑瘤大咖、世界小儿神经系统专业杂志《Childs Nervous System》现任主编Concezio...
2025-10-17 17:39:04
-
法国巴黎居里癌症研究所(Institut Curie)一直以来都是国际肿瘤(包括脑瘤)病人进行质...
2020-07-08 13:56:39
-
脑肿瘤是儿童中较为常见的实体瘤,也是癌症相关死亡的主要原因。过去几年,儿童中枢...
2025-11-10 17:35:48
-
James T.Rutka(鲁特卡)教授曾任世界神经外科学院院长,目前是世界神外专业杂志《Jour...
2025-10-16 13:54:25
-
悉尼儿童医院儿童癌症研究所小组组长、儿童癌症中心儿科肿瘤学家大卫·齐格勒副教授...
2021-04-22 10:33:04
-
目前,脑肿瘤质子治疗患者数量不断增加,学术界对质子治疗技术优势的认识也在不断加...
2020-06-23 13:29:02
-
仅在美国,每年就有超过12000名儿童被诊断出患有癌症。在这些癌症中, 儿童脑瘤 是较...
2020-04-17 18:06:35