前庭神经鞘瘤(也称为听神经瘤)是一种良性的,通常生长缓慢的肿瘤,由供应内耳的平衡和听觉神经发展而来。这种肿瘤来自雪旺细胞的过量产生,雪旺氏细胞通常包裹在神经纤维(如洋葱皮)周围,帮助支持和隔离神经。
随着前庭神经鞘瘤的生长,它会影响听力和平衡神经,通常会导致单侧(单侧)或不对称的听力损失、耳鸣(耳鸣)和头晕/失去平衡。随着肿瘤的生长,它会干扰面部感觉神经(三叉神经),引起面部麻木。

前庭神经鞘瘤也会影响面神经(面部肌肉),导致肿瘤一侧的面部无力或瘫痪。如果肿瘤变大,它较终会压迫附近的大脑结构(如脑干和小脑),从而危及生命。
前庭神经鞘瘤是前庭耳蜗神经(八脑神经)髓鞘形成细胞的良性原发颅内肿瘤。神经鞘瘤的一种,这种肿瘤源于负责髓鞘的雪旺细胞,髓鞘有助于保持周围神经绝缘。
虽然它也被称为听神经瘤,但这是一个用词不当的问题,原因有二。首先,肿瘤通常发生在前庭耳蜗神经的前庭部分,而不是耳蜗部分。二,它来源于相关神经的雪旺细胞,而不是实际的神经元(神经瘤)。
在过去30年中,报告的发病率一直在增加,直到较近十年,可能已经找到了真实发病率的近似值。较近的大多数出版物表明,由于磁共振成像扫描的进展,前庭神经鞘瘤的发病率一直在上升。
大多数病例是在30岁至60岁之间的人群中诊断出来的,男性和女性似乎受到了同样的影响。
大多数前庭神经鞘瘤在没有家族史的患者中自发发生。一个被证实的风险因素是一种叫做NF2的少见基因突变。
前庭神经鞘瘤的主要症状是不明原因的进行性单侧听力损失和耳鸣,以及前庭(不平衡)症状。这种情况的治疗是通过手术或放射治疗,通常会导致受影响耳朵的实质性或完全听力损失。长期观察(非治疗)通常也会导致受影响耳朵的听力损失。
听神经瘤,也称为前庭神经鞘瘤,是一种非癌性且通常生长缓慢的肿瘤,发生在从内耳到大脑的主要(前庭)神经上。这种神经的分支直接影响你的平衡和听力,听神经瘤的压力会导致听力损失,耳鸣和不稳定。
听神经瘤通常起源于覆盖该神经的雪旺细胞,生长缓慢或根本不生长。很少,它可能会迅速生长,变得足够大,以至于压在大脑上,干扰重要的功能。
听神经瘤的治疗包括定期监测、放射和手术切除。
双侧听神经瘤诊断
单侧/不对称听力损失和/或耳鸣以及失去平衡/头晕是前庭神经鞘瘤的早期迹象。不幸的是,肿瘤的早期检测有时很困难,因为症状可能很微妙,可能不会出现在生长的较初阶段。此外,听力损失、头晕和耳鸣是许多中耳和内耳问题的常见症状(这里重要的一点是单侧或不对称的症状是令人担忧的)。
一旦症状出现,完全的耳部检查和听力及平衡测试(听力图、眼震电图、听觉脑干反应)对正确诊断至关重要。磁共振成像(MRI)扫描在前庭神经鞘瘤的早期检测中至关重要,有助于确定肿瘤的位置和大小,并计划显微手术切除。
双侧听神经瘤症状
早期症状很容易被忽视,有时会被误认为是衰老的正常变化或归因于早年接触噪声,往往会延误诊断。前庭神经鞘瘤患者较常见的症状是听力损失(94 %)、耳鸣(83 %)和眩晕(49 %)。
听神经瘤的体征和症状通常很微妙,可能需要多年才能发展。它们通常是由肿瘤对听力和平衡神经的影响引起的。肿瘤对控制面部肌肉和感觉的相邻神经(面部和三叉神经)、附近血管或大脑结构的压力也可能导致问题。
随着肿瘤的生长,它可能更容易引起更明显或严重的症状和体征。
·面部麻木,很少出现肌肉无力或运动丧失
在少数情况下,听神经瘤可能会变得足够大,以至于压迫脑干,危及生命。
双侧听神经瘤原因
听神经瘤的病因通常不明;然而,越来越多的证据表明,肿瘤控制基因中的零星缺陷可能会导致某些个体出现这些肿瘤。特别是,22号染色体长臂上肿瘤控制基因的缺失或突变与前庭神经鞘瘤密切相关。其他研究已经在一致的基础上暗示暴露在大噪音中。
一项研究表明,听神经瘤与先前暴露于头颈部辐射以及伴随的甲状旁腺腺瘤(在甲状腺附近发现的控制钙代谢的肿瘤)病史之间存在关系。甚至在手持手机上也有争议。
射频辐射是否与听神经瘤的形成有关,还有待观察。迄今为止,没有任何环境因素(如手机或饮食)被科学证明会导致这些肿瘤。听神经瘤协会(ANA)建议经常使用手机的人使用免提设备,以便将设备与头部分离。
虽然有一种称为2型神经纤维瘤病(NF2)的遗传性疾病,可导致某些人听神经瘤的形成,但大多数听神经瘤是自发发生的,没有任何家族史的证据(95%)。
NF2发生的频率为每30,000例分娩中有1例,每50,000例分娩中有1例。这种疾病的标志是双侧听神经瘤(双侧听神经瘤),通常发生在儿童晚期或成年早期,通常与其他大脑和脊髓肿瘤有关。
听神经瘤的原因似乎是22号染色体上的一个故障基因。通常,这种基因产生一种肿瘤控制蛋白,有助于控制覆盖神经的雪旺细胞的生长。
是什么导致了这种基因故障尚不清楚,在大多数听神经瘤病例中,没有可识别的原因。这种缺陷基因也在2型神经纤维瘤病中遗传,这是一种少见的疾病,通常涉及头部两侧平衡神经上的肿瘤生长(双侧前庭神经鞘瘤)。
双侧听神经瘤诊断
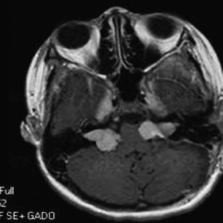
诊断前庭神经鞘瘤的金标准无疑是钆增强磁共振成像(MRI),但一些检查可能会引起前庭神经鞘瘤的怀疑。
常规听觉测试可能会显示听力和言语辨别能力的丧失(患者可能在那只耳朵里听到声音,但不能理解正在说的话)。应进行纯音测听,以合适评估双耳听力。在一些诊所中,对人工授精进行随访测试的临床标准是,三个连续频率的耳朵之间的阈值相差15分贝。
听觉脑干反应测试(也称为ABR)是一种比磁共振成像更具成本效益的筛查方法,适用于患An风险低的人群。这项测试提供了电脉冲从内耳到脑干通路的信息。听神经瘤可以干扰这种电脉冲通过内耳道中肿瘤生长部位的听觉神经,即使听觉仍然基本正常。
这意味着当测试结果异常时,可能诊断为听神经瘤。异常听觉脑干反应测试后应进行核磁共振成像。该测试的灵敏度与肿瘤大小成正比——肿瘤越小,假阴性结果的可能性越大;耳道内的小肿瘤经常会被遗漏。然而,由于这些肿瘤通常会被观察而不是治疗,忽略它们的临床意义可能可以忽略不计。
扫描和测试的进步使得识别小型听神经瘤(仍局限于内耳道)成为可能。磁共振成像使用钆作为增强对比材料是识别听神经瘤的优选诊断测试。如果存在听神经瘤,所形成的图像清楚地定义了它,并且这种技术可以识别直径小至5毫米(扫描间隔)的肿瘤。
当磁共振成像不可用或无法进行时,建议对怀疑有听神经瘤的患者进行计算机断层扫描(CT扫描),并进行对比。计算机断层扫描和听力图的结合提高了磁共振诊断听神经瘤的可靠性。
双侧听神经瘤治疗
前庭神经鞘瘤的早期诊断是预防其严重后果的关键。
(3)观察
有时,肿瘤通过手术切除。手术的确切类型取决于肿瘤的大小和受影响耳朵的听力水平。如果肿瘤很小,通过切除肿瘤可以挽救听力,并好转伴随的症状,以防止其对听力神经的较终影响。
随着肿瘤越来越大,手术切除变得更加复杂,因为肿瘤可能已经损害了控制面部运动、听力和平衡的神经,也可能影响了大脑的其他神经和结构。
切除影响听力、平衡或面部神经的肿瘤有时会使患者的症状恶化,因为这些神经可能在肿瘤切除过程中受到损伤。
作为传统外科技术的替代方法,放射外科(即放射疗法——“伽玛刀”或LINAC)可用于减小肿瘤的大小或限制肿瘤的生长。放射治疗有时是老年患者、医疗健康状况不佳的患者、双侧前庭神经鞘瘤(影响双耳的肿瘤)患者或肿瘤影响其听力的患者的优选。
当肿瘤很小,没有生长时,可以合理的“观察”肿瘤的生长。核磁共振扫描用于仔细监控肿瘤的任何生长。
病人有三种治疗选择。这些选择是观察、显微手术切除和放射治疗(放射外科或放射治疗)。决定选择哪种治疗包括考虑许多因素,包括肿瘤的大小、位置、患者的年龄、身体健康和目前的症状。
约25%的听神经瘤接受了医疗管理,包括定期监测患者的神经状态、系列影像学研究以及在适当时使用助听器。听神经瘤治疗的较后一大障碍是听力保护和/或听力损失后的康复。无论选择何种治疗方案,听力损失既是症状,也是伴随的风险。治疗不能恢复已经丧失的听力,尽管有一些少见的听力恢复病例报道。
诊断为NF2相关的双侧听神经瘤,如果肿瘤不加控制地生长,就有可能导致完全性耳聋。预防或治疗可能降临到NF2患者身上的完全性耳聋需要复杂的决策。大多数美国学术医疗中心的趋势是对较有可能保留听力的较小肿瘤的治疗。
如果这个目标是成功的,那么也可以对剩余的肿瘤进行治疗。如果在较初的治疗中没有保留听力,那么通常只观察到二个肿瘤,在有听力的耳朵中。如果肿瘤继续生长并危及生命,或者随着肿瘤的生长听力逐渐丧失,那么就要进行治疗。这种策略较有可能长时间保持听力。这些肿瘤的生长速度是可变的,因此,治疗的决定需要考虑患者的年龄和并发症。
总的肿瘤复发率很低,在1%到9%之间。
相关阅读:患者自述 | 不面瘫,听力保留,我终于摆脱了3.3cm听神经瘤!
- 文章标题:双侧听神经瘤是什么?
- 更新时间:2020-11-11 13:56:07
400-029-0925




