颈静脉球高位+ 内听道后壁骨质缺损——这罕见的解剖组合,将一台常规的听神经瘤切除术推向了高风险边缘。颈静脉球高位因为涉及到血管,术中需谨慎操作,否则会导致术中大出血,甚至会有生命危险。
面对紧贴‘高压线’的24毫米大型肿瘤,能否在保护面神经的同时安全切除?一起来看看INC国际脑血管手术大咖川岛明次教授是如何“绕道手术”。

51岁 男性 左侧大型听神经瘤 伴颈静脉球高位
病情阶段
51岁男性,约1年前确诊左侧听神经瘤,在确诊及术前评估时未发生面神经麻痹。但是左侧听力严重下降:纯音测听平均听阈达105dB(提示极重度耳聋)。
术前MRI结果显示肿瘤已进展至内耳道,根据影像学检查结果诊断为听神经瘤,肿瘤直径为24mm。
术前头颅CTA发现关键解剖变异,左侧颈静脉球高位。且颈静脉球紧贴内听道后方壁,导致该处骨质缺损。肿瘤位于内听道前上方。
关于颈静脉球高位
是耳科和神经影像学中的一种解剖变异,指颈静脉球位置异常升高,大多数没有临床症状也无需特殊处理,但如果要进行手术操作时需要十分小心操作,注意内侧壁乙状板,防止破坏颈静脉球。

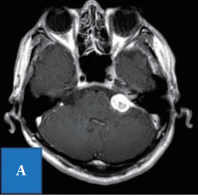
入院时T1-加权项磁共振成像显示,延伸到内听道的桥脑角均匀增强

B:计算机断层扫描-骨骼血管造影(CTA)显示,左上前侧有肿瘤(绿色肿块是增强区域);C:B所示的IAC壁骨缺失,显示颈高球非常靠近内听道和肿瘤。
治疗策略
INC国际脑血管手术大咖川岛明次教授在为他制定手术策略时的原则是:最大程度安全切除(GTR为目标)、优先保护神经血管(面神经、颈静脉球)。
面临的关键挑战是患者颈静脉球高位,紧贴内听道后壁骨质缺损区,显著增加在内听道后壁钻孔时损伤颈静脉球的风险。
因此手术方案是放弃在内听道后壁钻孔(高风险区),改为在内听道前上壁钻孔(避开颈静脉球)。
手术中采用的经岩前入路(ATPA),皮肤切口呈U形,以便围绕耳廓收集一个大的带蒂筋膜骨膜。
当从中颅底取出颞叶硬脑膜时,确认有一个棘孔,因此对硬脑膜中动脉进行烧灼和解剖。从颅中窝到小脑幕进行硬脑膜切口,并夹闭上锥体窦的近端和远端。
此外,可以用肉眼确认面神经的一部分在肿瘤前方,最终在保护颈静脉球的同时小心地切除了肿瘤。

D:术后磁共振成像。
术后情况
术后早期: 出现面神经麻痹。
恢复情况: 术后一年随访,面神经功能显著改善/恢复良好。

A&B:术前轴向和冠状面计算机断层扫描图像,显示岩骨水平的内听道。一个巨大的高颈静脉球延伸到后颅窝;C&D:术后图像显示切除的内耳道前壁和上壁。
INC国际神经外科专家团川岛明次教授

INC国际神经外科医生集团旗下世界神经外科专家团(WNEG)成员、世界脑血管搭桥手术大咖、日本东京女子医科大学神经外科主任川岛明次(Akitsugu Kawashima)教授,擅长脑卒中、烟雾病、颅底肿瘤、面部痉挛/三叉神经痛、颅内血肿、巨大脑动脉瘤、脑动静脉畸形等疾病的治疗,尤其擅长脑血管搭桥、颈内动脉内膜切除术。
神经外科经验:
- 烟雾病脑血管搭桥手术:1300例
- 脑动脉瘤夹闭手术:1000例
- 脑血管畸形切除术:500例
- 颈内动脉内膜切除术:450例
- 开颅脑瘤切除术:280例
- 颅后窝搭桥术、High-flow Bypass技术等
- 文章标题:“办法总比困难多”,INC川岛教授巧妙入路破解听神经瘤伴有颈静脉球高位困局
- 更新时间:2025-07-18 17:03:35
400-029-0925




