
26岁,年轻的生命之花刚开始绽放的时候,浩然的人生转折却来的突然。结束了高原的路程之后,浩然依旧感觉到身体的不适。头痛头晕都让浩然觉得这一切都不对劲。终于,在症状出...

人体复杂、神秘的部位在哪里?大脑!在这个区域动手术,对于医生来说,都是一次穿越生死的挑战。在大脑深处,有个比拇指稍大的器官叫做脑干,它几乎管辖着生命,如呼吸、心跳...

上图是2019年10月第1卷第2期《NEUROSURGICAL FOCUS VIDEO》(神经外科聚焦视频)下的真实评论,惊叹于这台脑干手术技术之高超。 为何这样一则手术能引发如此高的赞誉,其原因就在于延髓的...

在三个月的时候,我已经到日本出过差 包括工作、运动都已经恢复 我如果不手术 我将来的生活我是能够看得到的 那这个生活是不我不想要的 2024年7月,INC工作人员采访了一位我们的老...

脑海绵状血管瘤是一种脑血管畸形性疾病,外观像一个桑葚。得脑干海绵状血管瘤患者担心的问题之一是该病会反复出血,引起重要功能丧失。 一些患者经历了经年累月的反复脑干出血...

怀孕4个月发生脑干出血,竟是脑干海绵状血管瘤作祟,怎么办?可以生完孩子再手术吗?如果不手术会对孩子产生什么影响?这是来自一位脑干海绵状血管瘤准妈妈的担心。其实,很多...

一则新闻报道:16岁的中学生强强(化名)玩了6个小时手机游戏后,感到不适头痛难忍,伴恶心呕吐。紧急送医后,强强被确诊为颅内海绵状血管瘤破裂出血,情况危急。 另一则真...

脑出血,我们已经谈之色变, 其实更可怕的还有脑干出血! 脑干是人的生命中枢,包括中脑、脑桥、延髓,脑干海绵状血管瘤会导致脑干出血,使病人出现肢体瘫痪、昏迷,甚至危及...

脑海绵状血管瘤能否做伽玛刀治疗?当求医过程中得到手术风险大的回复时,一些医生建议进行伽马刀等放疗;或者当患者害怕开颅手术时,也想要选择放疗消除病变,但这真的是较佳...

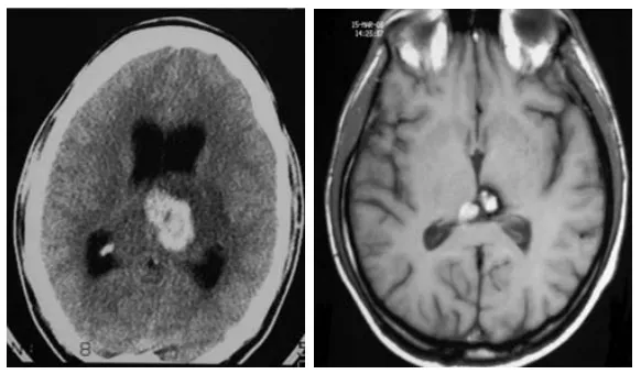
26岁男性因突然头痛、呕吐和意识恶化就医。CT扫描显示间脑后部出血性病变(图1左)。诊断为丘脑肿瘤,给予40Gy分次外束放射治疗。放疗后脑室增大,并插入脑室-腹膜分流器。放疗一...