
脑膜瘤 是成人较常见的颅内肿瘤,每年每10万人中女性和男性的发病率分别为10.26和4.55,在尸检和脑成像研究中患病率约为1.5%。多数临床无症状的偶发脑膜瘤在组织学和临床上都是...

脑膜瘤 好发部位有哪些?分别都有什么样的症状?得了脑膜瘤怎么治疗比较好?术前术后护理需要注意什么?关于脑膜瘤诸如此类的问题无疑是很多患者及家属朋友们迫切需要了解和知...

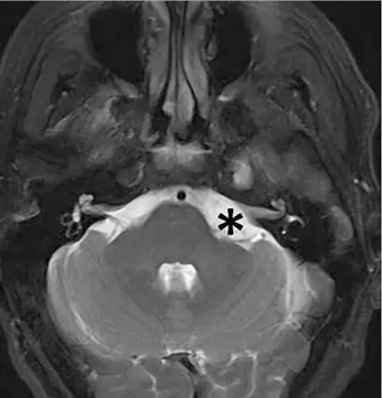
桥小脑角区 脑膜瘤 ,通常压迫周围许多重要神经血管、小脑甚至脑干,大肿瘤,手术难度大,手术不慎易残留肢体瘫痪、面瘫、听力损伤等。完整切除桥小脑角区脑膜瘤且不伤及...

从生物学上讲,大多数脑膜瘤是良性的,但某些脑膜瘤可能具有侵略性且难以治疗,是当它们围绕神经或血管时。脑膜瘤术后有残留就会复发吗...

脑膜瘤 是围绕大脑的组织的异常生长,称为脑膜。通常,脑膜瘤只需要医生定期检查和神经影像学检查,因为肿瘤生长缓慢。然而,有时肿瘤会压迫大脑或脊髓。在这种情况下,需...

脑膜瘤3Cm严重吗? 脑膜瘤手术 后多久恢复? 脑膜瘤(Meningiomas)是一种常见的颅内肿瘤,在颅内肿瘤中占二位,是起源于脑膜及脑膜间隙的衍生物。大多数脑膜瘤属于良性肿瘤,生...