
巨大岩斜区脑膜瘤全切案例一则,全部后颅凹脑膜瘤中,岩斜区脑膜瘤手术是对外科医生手术技巧的较大挑战。由于这部分肿瘤发病率低,肿瘤深居后颅凹中央,而且临近脑干、ⅢⅣ颅神经以及后...

岩斜区脑膜瘤什么时候需要手术?岩斜区脑膜瘤是较具挑战性的病理之一,因为其位置深,与重要的神经血管结构关系密切。患者可能没有症状,或者受到颅内压升高、脑神经、小脑或...

岩斜脑膜瘤起源于在上颅骨的三分之二中部至五颅神经内侧的岩腹结合处,其中大型岩坡脑膜瘤定义为大小超过3厘米...

岩斜区脑膜瘤(PCM)约占后颅窝脑膜瘤的2%。它它们起源于斜坡上三分之二的岩斜交界处,三叉神经内侧。由于这些病变的位置较深,且靠近良好的神经血管结构,过去PCM切除与较高的发病...

岩斜脑膜瘤是神经外科医生面临的一个较大挑战,因为它们的位置很深,而且靠近重要的神经血管结构。颅底入路、显微神经外科技术、神经影像学检查以及术中神经生理学监测的进步...

岩斜区脑膜瘤约占后颅窝脑膜瘤的2%。由于病变发生在斜坡上三分之二的岩斜连接处,PCMs位于三叉神经的内侧。由于岩斜区脑膜瘤起源的重要结构和接近岩斜区的困难,切除岩斜区脑膜...

1837年,马格努斯报告了一例假性延髓麻痹(PBP)患者,他曾遭受多发性麻痹梗塞然而,直到1877年,当Lepine用它来区分由核上病变引起的下颅神经麻痹和由球核损伤引起的颅神经麻痹...

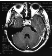
面神经麻痹和三叉神经感觉减退均有轻微好转。图示:(A)32岁女性,左侧颈面部运动障碍,轴向T2加权SEMR图像显示左侧岩斜坡脑膜瘤压迫脑干。图示:(A)32岁女性,左侧颈面部运动障碍,...

岩骨斜坡脑膜瘤伴发病理性大笑是一种少见的疾病,本文介绍了一名因次肿瘤而控制不住发笑的患者案例...

岩斜脑膜瘤(PCMs)由于其与脑干、主要血管结构、穿支和颅神经的关系,一直是颅底外科医生面临的挑战。手术入路的选择取决于肿瘤的位置、范围、大小、患者年龄、术前听力和面神...