脑膜瘤是较常见的良性脑外病变之一,占成年人颅内肿瘤的10%至20%。钙化,骨化,骨浸润,骨浸润和成骨细胞形成是与这些肿瘤相关的常见特征。脑膜瘤钙化意味着什么?下述该病例描述了完全钙化的颅内脑膜瘤,而颅骨没有改变。该患者没有任何顶叶骨受累。

脑膜瘤钙化案例报告
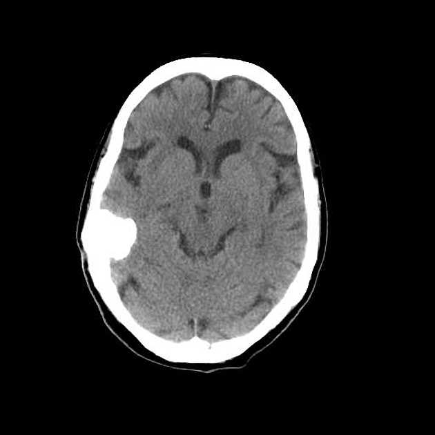
一名60岁的卡车司机出现了三个月的左灶性癫痫发作史。发作开始于左脚刺痛和麻木,累及下肢,然后发展为上肢。因此,他经历了左侧的强直阵挛性运动。癫痫发作的频率是每周一次。阵发性运动缺陷通常持续3至10天,然后完全恢复。神经系统检查显示轻度左痉挛性偏瘫(皮质功率为4/5)并伴有皮质感觉障碍。全部其他神经系统功能(包括眼底)均正常。血液,血清分析和X线胸片未显示任何异常。普通颅骨膜显示钙化(7x5厘米),在中央密集,在周围蓬松。CT显示右后壁钙化肿块,中心均匀密集,周围不均一。没有对比增强和脑水肿。在右侧位置进行顶叶开颅手术。硬脑膜浸润在右矢状旁区域的一小部分区域,但没有累及上覆骨。从邻近的内侧皮质表面解剖蛛网膜。这导致右顶叶通过重力自发地从肿瘤分离。因此,可以在没有任何脑部回缩的情况下完整切除肿瘤及其恶性肿瘤。
组织病理学检查显示钙化的脑膜瘤,富含砂砾样体,有小病灶,使人联想到脑膜上皮细胞。
术后无明显变化。三个月后,他经历了一次左局灶性发作,可以通过在原来每日苯妥英300毫克的基础上,再加入60毫克苯妥英来控制。术后18个月的CT扫描是正常的。
脑膜瘤钙化产生的原因
脑膜瘤的钙化是众所周知的,它可能是局部的颅骨骨质增生,甚至可能远离肿瘤部位。库欣和艾森哈特提到脑膜瘤骨化的发生率为1%。高骨融合性脑膜瘤已被发现,其中2.6 - 6.7%位于颅底。骨瘤性脑膜瘤约占1%,主要位于脊柱。脑膜瘤来源于来源于神经嵴的蛛网膜帽细胞。颅骨、各种内脏和颅软骨也起源于神经嵴。库欣和艾森哈特描述了同时含有骨和软骨的脑膜瘤。骨化可能是软骨的、膜内的或肿瘤的钙质沉着。肿瘤侵犯骨性病变包括哈弗氏管充血、静脉淤滞和机械压力。脑膜瘤细胞可向成骨细胞转化。后者可能导致肿瘤本身的骨瘤性改变,因为基本细胞即神经嵴细胞具有分化潜能。钙化是砂砾质脑膜瘤的常见特征。砂砾样体来源于血管闭塞的内皮细胞。脑膜平滑瘤中心和支持性结缔组织的胶原形成,接着是透明化和钙化,这是蛛网膜细胞和坏死肿瘤细胞的分泌产物。钙磷灰石晶体与胶原纤维密切混合。钙和铁在矿化过程中起着明显的作用。
有时钙化位于病变远处。这表明可能存在某些体液因素,如生长因子或同工酶导致钙化。骨同工酶碱性磷酸酶(AP)被认为与其他酶一起在脑膜瘤中大量合成。这种酶具有骨化特性,并与骨矿化有关。在一项对40例患者的研究中,可以发现AP的肿瘤含量与钙化之间存在良好的相关性。因此,这可能是脑膜瘤钙化的主要因素之一。
脑膜瘤钙化能治好吗?
这些病变可以通过钻孔或整体切除来切除。后者是顺利的,如果一个大的工作空间是可用的,没有太多的处理脑组织。同样适用于周围蛛网膜平面清晰的良性病变。这是可能的手术在侧下位置的后,中,三分之一和前三分之一的镰旁损害。蛛网膜剥离后的参旁皮质由于重力而脱离镰状核损伤,从而提供了足够的工作空间。通过在钙化的肿瘤上钻一个洞,通过缝合将其从皮层上拉回,使得切除更加容易。
与钙化不同,脑结石很少观察到病理。脑结石的基本病理生理是坏死引起的钙调节的恶化,坏死是由经常发生的出血引起的。重要的是,钙化病变可能在血管组织中富集。这些损伤可能与癫痫发作的发生或偶然发现有关。钙化的潜在病理学通常是良性的,是在肿瘤中。缺乏恶性肿瘤的主要原因可能是恶性肿瘤在较早阶段表现出症状并被切除。脑结石的病因和部位可能不同。我们建议将小于1 cm的病变归为钙化,将大于1 cm的病变归为脑结石。我们进一步建议钙化和脑结石之间的区分可能基于大小。在计划对患者进行手术时,需格外小心地评估病因,钙化的位置和钙化的大小。需考虑血管病变,是对于圆形和边界清楚的结石,并且需为此使用成像技术。
- 文章标题:脑膜瘤钙化意味着什么
- 更新时间:2019-12-24 17:02:39
400-029-0925




