脑干脑桥海绵状血管瘤一旦出血,后果不堪设想。手术切除是根治病灶的希望所在。然而,手术风险极高,稍有不慎便可能伤及重要神经,如何选择最安全的手术入路,是神经外科领域持续探索的核心挑战。
国际知名神经外科期刊JNS发表了INC脑血管大咖巴特朗菲教授的脑干脑桥海绵状血管瘤的135例手术经验,总结了系列手术案例的病变分型、手术入路、切除情况及术后并发症、恢复情况等,同时推荐脑桥后外侧入路手术切除术后并发症率更低。

脑桥手术的挑战
脑桥损伤有多可怕?脑干被称为“生命中枢”,其中脑桥更是密集排列着颅神经的核团和连接大脑与脊髓的传导束,一旦受损,后果不堪设想。

桥脑海绵状血管瘤病变位置,血管病变不邻接桥脑表面,但它单侧移动周围的固有结构,包括外展神经和面神经。
传统的脑干手术多采用后正中入路,通过第四脑室底(菱形窝)进入脑桥。这条路径直接,但问题在于:展神经核距离菱形窝表面仅0.2毫米,而面神经核也仅约5.1毫米。这就好比在悬崖边上行走,稍有不慎就会造成不可逆的神经损伤。
如果损伤到展神经核,可能会出现斜视;
如果损伤到面神经核,可出现面瘫;
如果出现三叉神经核损害,可出现损伤侧面部感觉异常;
如果损伤到下行神经传导,患者可出现瘫痪、偏瘫等症状;
如果导致严重脑干损害,还可能会导致呼吸、心跳改变等。
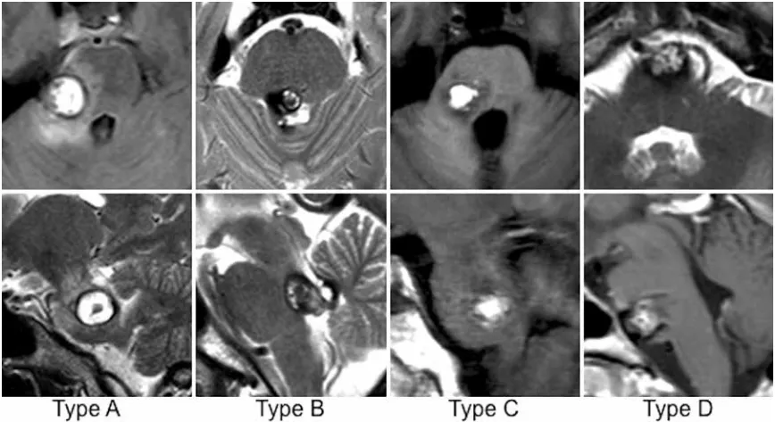
四种类型的脑桥“炸弹”
多年来,神经外科医生一直在寻找更安全的手术通道。INC巴特朗菲教授在本研究中根据最合适或可能的手术入路定义了4种不同病变类型(A-D型)脑桥海绵状血管瘤。
每列显示一名具有代表性脑桥海绵状血管瘤类型患者的轴向(上)和矢状(下)MR图像。
A型
病灶贴在脑桥外侧,只能从侧面切(后外侧入路),从中间切会伤脑干;
B型
病灶靠近脑桥后方的菱形窝(第四脑室底),只能从中间切(后内侧入路);
C型
病灶夹在外侧和中间之间,两种入路都能切(研究的核心对象);
D型
病灶长在脑桥前面,得从前面绕进去(前外侧入路)。

最引人关注的是C型病变——它既可从后外侧也可从后正中入路处理,占所有患者的57%。
对于C型病变,外科医生面临真正的选择:是走传统的后内侧路线,还是尝试后外侧路线?决策至关重要,因为它关系到患者术后是否能正常微笑、眨眼。
为什么后外侧更优?
在C型病变患者中,接受后外侧入路手术的患者,永久性展神经麻痹发生率为3.7%,而经后内侧入路的患者为21.7%;面神经麻痹发生率分别为1.9%对比21.7%。统计学分析证实了这种差异的显著性。
总体来看,所有135名患者中,术后展神经和面神经功能缺损率分别为5.9%和5.2%,低于大多数已发表的报告。
这些数字背后是真实的人生。研究中的一名45岁女性,脑桥巨大海绵状血管瘤出血导致她卧床不起、意识模糊。通过远外侧经髁入路(一种后外侧入路),医生成功切除了病变,她逐渐恢复,仅有轻微面部无力残留。

为什么后外侧入路能更好地保护颅神经?答案在于脑桥内部的微观解剖结构。
展神经核和面神经核位于脑桥背侧,正对第四脑室底。当从后正中经菱形窝入路时,手术通道直接经过这些神经核团附近。而从后外侧进入,医生可以避开这些关键结构,通过更安全的通道到达病变。
在神经外科迈向精准医疗的今天,我们的目标早已从“把病变拿掉”升级为“在保护功能的前提下完美拿掉”。这项跨越24年的研究,用135个生命的纪实数据,为桥脑这个手术禁区绘制了一张更为精准的“安全地图”。每一次谨慎的“二选一”,背后都是对患者微笑、目光和未来生活质量的庄严承诺。
文献来源:
Helmut Bertalanffy,et al.Optimal access route for pontine cavernous malformation resection with preservation of abducens and facial nerve function.JNS 2020.
INC国际脑血管专家-巴特朗菲教授
INC国际神经外科医生集团旗下世界神经外科顾问团(WANG)成员、世界神经外科联合会(WFNS)教育与技术委员会前主席巴特朗菲教授,作为德国汉诺威国际神经外科研究院血管神经外科主任,擅长大脑半球病变、脑干病变、脑血管疾病、脑内深层区胶质瘤、颅颈交界处的病变等的肿瘤切除术、神经吻合术以及各种椎管内肿瘤等。
同时,巴特朗菲教授收到过来自欧洲、中东、北非以及日本、中国、韩国、新西兰、南非和智利的40个国家的学术邀请,应邀出席了400多场世界各地的学术会议或在神经外科大会作为特邀发言人,对世界神经外科学科做出重大贡献,特别是颅底外科和显微外科血管病变的脑和脊髓治疗。
- 文章标题:研究分享 | 如何从脑桥“禁区”拆除血管炸弹并保住神经功能?
- 更新时间:2025-10-23 11:52:08
400-029-0925




