2024年6月巴教授中国行中,37岁的巨大丘脑及中脑海绵状血管瘤女性思睿找到了INC巴特朗菲教授,最终成功手术!全切丘脑-中脑海绵状血管瘤,术后第1天四肢活动正常、术前症状即刻缓解。术后第4天巴教授查房时,思睿状态良好,用英文流利得跟巴教授表达着感谢,“谢谢您,您就像一位战士,您帮我们很多这样的患者拆除了'炸弹’!”
“Be positive don't be negative!”——在脑海绵状病友圈里有这样一位厉害且热心的病友——她乐观向上、爱笑爱四处旅游、总是鼓励着同样病友们不要害怕,是大家眼中“温暖的小太阳”,她就是思睿。
2018年患病以来,第1次右侧丘脑出血导致复视、记忆障碍、左半身肢体偏瘫,手指抓握功能丧失……虽然多方求医都被建议手术风险大,术后可能会出现更多后遗症,但是思睿从未放弃,“既然已经发生了,那就要积极面对”,积极自救,了解脑海绵状血管瘤的治疗方法,寻求能够成功手术的主刀医生,终于在第2次出血时她等到了自己新生的机会。

巨大丘脑及中脑海绵状血管瘤出血致偏瘫向阳而生绝不放弃
首次出血致偏瘫,真的只能选择保守吗?
2018年4月,思睿因为频繁的嘴角麻木就医检查,行CT检查提示右侧丘脑出血,在当地医院接受药物治疗1周后出院。出院时仅有嘴角麻木。然而随着时间的推移,第一次的右侧丘脑出血越演越烈,复视、记忆障碍、左半身肢体偏瘫、手指抓握功能丧失……一系列严重的神经功能受损症状接踵而至,而在积极寻求治疗方案时,思睿更是遭受到了当头一棒。
由于丘脑海绵状血管瘤极其罕见,出血后往往引起偏瘫等神经功能障碍,首次出血后再次出血的风险增加,临床上治疗非常棘手。对于丘脑海绵状血管畸形,手术切除病灶可以达到良好的预后,避免后续由于反复出血、病灶扩张造成占位效应而进一步引发神经功能障碍的风险。


但是,由于病灶位于丘脑等重要功能区,周边毗邻大脑后动脉、基底动脉、大脑前动脉、视束等重要结构,使得手术导致意识障碍、偏瘫、视力障碍等的风险骤增。“术后后遗症会比当下更严重”,医生建议她保守观察吗,随后思睿进行康复治疗。
“我不能就这样放弃。”思睿没有因为患病而选择一蹶不振,她和家人一起研究海绵状血管瘤的治疗动向,与病友们相互鼓励,积极乐观得面对着生活。
再遭重创第2次出血,希望的曙光终于亮起
命运似乎并未打算轻易放过这位坚强的女性。2024年5月,海绵状血管瘤再次向她发起了猛烈的攻击——不同于第1次丘脑出血,这次是脑干附近的再次出血,带来了更加剧烈的症状:手麻、心悸、早搏……这些新出现的问题,让她的身体和心理都承受了巨大的压力。脑干作为人体的生命中枢,掌管着心跳、呼吸、吞咽等重要功能。每一次心跳的加速,都提醒着她时间的紧迫和生命的脆弱。


然而思睿没有退缩,反而更加坚定了寻找手术机会的决心。她知道,只有完全切除病变,才能避免术后残余出血的风险,重获新生。她和家人开始积极寻求更好的机会,再也不能继续保守下去了!
这时巴教授2024年6月将来华的消息,而在病友圈里他们也找到了寻求巴教授成功手术的病友,看着病友们,让她的心中重新燃起了希望的火焰。
“这个病变可以完全切除”——我们非常相信巴教授
思睿把自己想找巴教授手术的想法第一时间告诉了家人,在家人的支持下他们迅速行动来到INC上海办公室,“我们非常信任巴教授”,当天他们就决定咨询巴教授能否为自己手术。INC医学顾问也迅速整理翻译好了思睿最新的资料发送给巴教授。仅仅过了1天,焦灼等待的思睿就收到了巴教授从德国发来的回复。
巴特朗菲教授远程邮件回复
“考虑到自2018年以来的较长的临床病史、症状的演变、目前的主诉以及神经功能受损,现在有明确的手术指征。如果她准备在近期接受手术,我可以为她提供手术治疗,这个病变可以切除。现有的症状或甚至新出现的神经功能障碍可以逐渐好转。”

收到巴教授给出了具体答复,思睿知道这是她的机会。能有手术的机会就是有生存的概率,第1次出血已经导致了严重的后遗症,这个可怕的疾病已经威胁了她快7年,她不能再等了,她毫不犹豫地选择了相信。这份信任,不仅仅是对巴教授专业能力的认可,更是对自己生命的一次勇敢赌注。
在准备手术的日子里,思睿和家人都充满了期待和紧张。他们知道,这将是一场硬仗,但也坚信,只要团结一心,就没有克服不了的困难。
不到24小时顺利转出ICU——手术成功,无任何新发并发症
2024年6月巴教授中国行如期开展,思睿也顺利入住苏州大学附属第四医院等待手术。
由于病变位于脑深部并涉及到中脑和丘脑,范围大,且包裹着重要的神经组织,手术难度高。手术风险是当前症状恶化,但也可能出现新的感觉和运动功能障碍,并影响平衡和语言功能。术前谈话,巴教授再一次告诉思睿手术后,术前的症状也许不能立刻更好,但是会逐渐恢复。思睿无比坚定得回答巴教授:“我已经准备好了!”
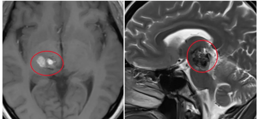
由于思睿多年多年的出血性病变,中脑右侧有明显的轴内出血,延伸至丘脑,出现神经功能受,且血管畸形粘连严重,剥离难度极大。在术前巴教授,巴教授认真的研析了思睿的影像学的资料,了解病变的前后、左右的比邻关系,做到完全的了解病变的特性,才能做到手术中游刃有余。
2024年6月4日,在国内神经外科医生辅助配合,神经电生理监测下,思睿的丘脑-中脑海绵状血管瘤手术平稳进入到颅内切除的部分。为了精准切除病灶的同时,还进行了术中神经电生理监测,最后为思睿全切病灶。

对于这样一台手术,巴教授非常清楚如何避免并发症,术后思睿无新发功能障碍,仅在ICU待了一晚就顺利转入普通病房。
术后第1天巴教授查房,思睿症状已经比术前有改善,四肢活动正常。“Much better!”,巴教授为思睿的状态点赞。虽然多年的病史让思睿术前已经出现了诸多的症状,但是手术并没有造成任何新发的损伤,后期这些术前的症状也能一点点恢复。
术后第4天巴教授查房时,思睿精神状态良好。巴教授也告诉思睿可以下床活动一下,后期她可以加强康复锻炼。思睿回复巴教授自己术后第3天就已经下床走动过了,她用流利的英文向巴教授表达着感谢——“我的家人都觉得惊讶,我经过一个这样大的手术后,竟然思维还是很敏捷活跃,Thank you!”。
后记——“因为自己淋过雨,所以总想也为别人撑伞”
在思睿的社交平台上,热心的她一直分享着一路以来的治疗心路历程,“因为自己淋过雨,所以总想也为别人撑伞”。而她自己也希望自己的经历能够帮到更多身患疑难脑肿瘤处在治疗迷雾中的病友们。
术后,思睿回到术前的康复医院进行积极的康复训练,而这一次和术前已是完全不同的心态,经过巴教授成功手术摆脱了脑海绵状血管瘤的她,现在可以不再像以前那样提心吊胆得担心再次脑出血可能会带来的巨大损伤,坚强的她拼尽全力进行术后康复。术后的每一天都能看到进步,现在思睿肢体功能恢复良好,但是她对自己有更高的要求——“希望以后能正常弹钢琴”。现在的思睿也成了病友圈里的焦点人物,回顾她的治疗经历,她也再用自己多年的经历告诉病友们——只要不放弃就会有希望。
400-029-0925




