“如果不是那阵突如其来的手麻,我还在准备当天学术会议的主持工作,我甚至以为是颈椎病,完全没想过「脑血管瘤」会和自己扯上关系。”
52岁的刘先生,是某医院的麻醉科主任,经手过无数台手术的他,从未料到有一天会以患者的身份,躺在手术台直面脑干深处的不定时隐患——桥脑海绵状血管瘤。
01“手发麻,我还以为是颈椎病”
2023年12月30日,身为麻醉科主任的刘先生被邀请参加一场学术会议,途中,他习惯性地搓了搓手,指尖突然传来一阵明显的麻木感。“当时没当回事,每年年底写各类报告文件,要敲电脑到深夜,颈椎病是我们这群医生的‘职业病’,以为歇两天就好。”刘先生后来回忆道。
可会议结束后,手掌的麻木感非但没消退,反而像藤蔓般蔓延。他赶紧回医院去做磁共振检查颈椎,同事面色凝重提醒“主任,你这片子好像有点问题”,刘主任凑近屏幕,看到脑干位置有一个约1公分大小的异物清晰可见。他赶忙又跑去隔壁CT室复查,“我当时一看就像血管瘤的样子,很震撼,接受不了。”
十多年前,他还曾作为健康志愿者,为医学院朋友的课题提供影像资料,那时他的颅脑影像没有任何异常。而此刻的他,第一次以患者身份凝视自己的病灶。震撼、恍惚、难以置信,多种情绪交织,让这位见惯生死的麻醉科主任第一次慌了神。
在进一步检查后,他被确诊为脑干桥脑海绵状血管瘤,病灶大小0.8cm。作为从业30年的麻醉医生,他比普通人更清楚脑干手术的风险。但他也明白,海绵状血管瘤不会自行消失。除了手术,几乎没有更好的解决方案。
02从焦虑蔓延到四处求索
“既然已经这样了,那就想办法怎么解决嘛”,作为麻醉科主任,他认识国内众多神经外科的专家,跟他们咨询讨论自己的病情,得到的建议也都是手术切除。但做手术的话,风险又很大。怎么办?是保守治疗?还是尽快找一个脑干手术领域有着丰富经验的医生?
在他四处咨询的这一个月里,指尖的麻木扩大到手掌、手臂,甚至脚和小腿也开始发麻。多次复查显示,病灶从0.8cm增至1.5×1.2cm。

无奈之下,他也咨询了脑血管科的中医专家,中药、针灸都试了,却收效甚微。两周后再做MRI,出血范围扩大到1.6×1.3cm,DTI检查更是给出了危险信号——丘脑皮质束局部已经受压、破坏。丘脑皮质束的作用是将全身的温度觉、痛觉、触觉、压觉、听觉、视觉整合并传导到大脑皮层。刘先生麻木症状也在不断加重,还出现疼痛。
整个1月到2月,所有人都在春节的喜庆氛围里,而他却在医院、学术圈不断咨询,晚上熬夜查文献、看病例,甚至在病友群里挨个打听。“我就想找个做脑干手术有着丰富经验的医生,哪怕只有一丝希望,也不想放弃。”
期间,国内某大医院的医生建议他“保守观察,现在不是手术的好时机,万一手术导致症状加重,反而更麻烦,等后续加重了再做。”
走出医院后,他在附近公园的长椅上坐了很久,沮丧像潮水般涌来。脑干里的血管瘤只会越变越糟,不会自己好转,可又赌不起手术的风险,“我是医生,要是动完手术不能动了,不仅无法正常工作,还会拖累家人。”
03求医中的理性与温度
多个医生同仁和病友群都提及了一个名字——脑干手术大咖巴特朗菲教授。“在春节期间,我特意去查他的论文,也看了他在《JNS》上发表的那篇135例脑干脑桥海绵状血管瘤手术研究。还了解到他会来国内做示范手术,光是脑海绵状血管瘤就完成了许多例。”

JNS发表德国巴特朗菲教授
135例脑干脑桥海绵状血管瘤手术入路及疗效研究
为了确认信息,刘先生找了巴教授国内合作医院的同仁,甚至联系上5、6位接受过巴教授手术的病友。“病友们特别热情,把术前咨询、手术过程、术后恢复的细节都告诉了我。这些真实的经历,像一颗颗定心丸,让他逐渐建立起对巴教授的信任。
2月26日
刘先生整理好所有影像资料和疑问,通过INC国际神经外科医生集团联系巴教授;
2月28日
他就收到了巴教授的邮件回复,“反馈速度比我预想的快太多”;
3月1日
他和妻子、儿子一起与巴教授视频咨询,抛出了最关心的三个问题:“能全切吗?会有并发症吗?术后最严重的情况是什么?”巴教授的回答坚定而清晰:“可以全切,风险很低,术后有5-6%的几率可能出现暂时性的面瘫和重影。”

巴教授远程咨询报告截取
“我的妻子担心手术风险,想让我再观察观察。但我知道,不能等了。海绵状血管瘤第一次出血后,再次出血的概率会大幅增加,一旦二次出血损伤运动功能,即便后续手术成功,也很难完全恢复。”在多方求证、深思熟虑后,他最终决定选择巴教授主刀手术。
04“手术顺利,就像做了一场很长的梦”
2024年3月30日,这位麻醉科主任平静地躺在自己最熟悉的地方。“做了30年麻醉,我见过太多手术场景,知道担心没用。能安排都安排好了,剩下的,就交给医生和运气。”
他的心率、血压和平常没两样,可当看到手术室门口挤满了校友、老同事、老领导,甚至师弟们都特意赶来时,还是感动的红了眼眶。“从确诊到现在,医院里的同事一直很关心我”他们的到来,让他觉得不是一个人在战斗。

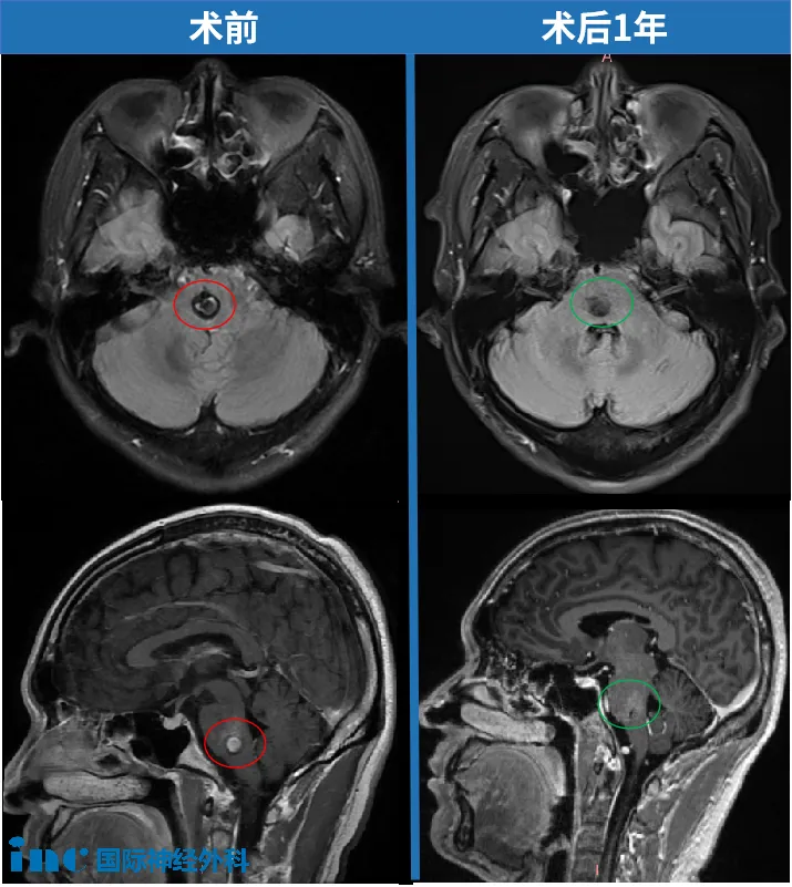
在国内神经外科团队的配合下,巴特朗菲教授主刀,这场高难度的开颅手术成功了,病灶全切,没有出现偏瘫、面瘫,更没有其他并发症。
术后当天下午,刘先生从麻醉中醒来,就能正常说话,还能和前来探望的同事握手;在ICU只待了一晚,第二天早上,他吃下护工买的粥和鸡蛋,吞咽功能丝毫未受影响。“我知道我的病灶靠近延髓,延髓受损会导致呛咳、吞咽困难,能恢复得这么好,真的太意外了。”

术后第一天巴教授查房
术后两周,刘先生顺利出院。休息两个多月后,6月18日,他重新回到了熟悉的工作岗位。“院长一开始不让我急着上班,还特意组织专家会诊,确认我身体没问题了,才同意我回来。”这份沉甸甸的关心,让他始终心怀感恩。


术后1年刘先生走路、骑车已与常人无异
如今,距离手术已经过去一年半,刘先生的生活早已回归正轨——开车、骑自行车、正常工作都没问题,只是手指还有些麻木,眼睛重影也没完全消失,“神经恢复本来就慢,不影响生活,我有耐心等。”
有意思的是,习惯留圆寸的他,每周去理发店时,都会特意让理发师在耳后手术切口的另一侧,也推一条对称的线条。“这是我自己想的主意,从后面看起来就很对称嘛”语气里充满的是对生活的热爱。

刘先生请理发师在手术切口的对侧也推一条对称的线条
回望这段跨越生死的经历,他说自己很庆幸,能在国内找到巴教授这样的专家,不用远赴德国,也非常感恩身边所有人的帮助。
作为医生转为患者的经历让他更理解患者的恐惧。他也想告诉正在跟脑瘤奋战的朋友们:专业决策很重要,充分了解疾病,选择经验丰富的医生;心理建设同样关键,不要被恐惧压垮,要坚定信心,一定能跨过这道坎。
案例来源:巴特朗菲教授于2024年3月30日在国内进行的一则案例。
400-029-0925




