我们真的、真的了解自己的大脑吗?
大脑对于我们的重要性不言而喻,在大脑外层,无数个神经元处理无数的感官感知、计划行动,并构成人们思想意识的基础。
当我们打开地图时,你明确看到不同区域,可以精确找到你要去的地方。而我们的大脑呢?

大脑表面是一层深深折叠的神经组织,称为大脑皮层。神经科学家们,他们像大脑的测绘员,描述大脑“地图”各个区域的功能、识别出不同脑区间的界限,如地图上的大道或小径般,我们可以明确知道到底这个区域是什么——不同城市之间都有着明确的划分。有的管语言,有的管运动,有的管思考,有的管性格。这些不同的区域,最终又融合成一个统一的整体。
正因为如此,大脑可以同时指挥我们做很多这些事情——我们可以在健身的时候和朋友聊天,在聆听音乐的时候进行周密的工作计划,在欣赏风景的时候回忆美好……
然而如果这些“区域”被损伤了,是不是大脑相应的功能就没有了?
花样女孩,却被功能区胶质瘤困扰,该怎么办?
“真的难以想象,我们的宝贝女儿如果手术后肢体瘫痪了,她如何过好她这一生,所以我们不遗余力地想找到教授为她手术治疗。”——这是一个13岁脑功能区胶质瘤小患者父母的心声。
术前情况
13岁女孩艺文(化名),因癫痫反复发作、肢体无力就医,检查出“大脑左顶叶深部占位性病变”。由于癫痫发作频繁,正在上学的孩子生理和心理上遭受着双重打击。
“孩子今天在学校再一次发作了癫痫,她回来告诉我们不愿意上学了,然后把自己关进房间里,而我们做父母的只有心痛,孩子才这么小,不该遭受这些,我们多想替她承担……”
国内多家医院都曾就诊咨询过,但大多医生表示,肿瘤压迫肢体运动功能区,并且靠近矢状窦,肿瘤难以全切,且术后肢体偏瘫可能性很高,对于术后恢复程度没有太大把握。
INC巴教授的积极评估意见:“孩子是良性肿瘤,需要手术,但位于脑功能区,手术过程中需要术中核磁、术中神经导航、术中神经电生理等设备保驾护航,且对麻醉的要求很高。”
手术治疗
手术时间:2020年1月
手术医生:INC德国巴特朗菲教授手术团队
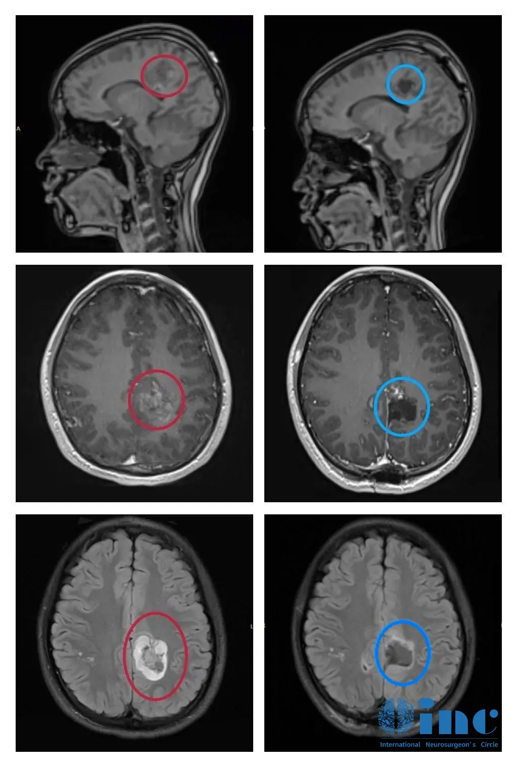
术前术后影像对比

(红色为术前,蓝色为术后)
术后情况
手术后第二天出ICU,可以自行持筷用餐且能在医护人员搀扶下下地行走。术后第三天,已能自行下地行走,平衡力正常,且没有其他新发神经症状出现。术后配合医院康复训练,1周后即出院。
“感谢巴特朗菲教授解除了我女儿的病痛,卸下了压在我们心头的一块巨石!”艺文的爸爸时不时地惊叹,一家人终于在两年的波折治疗之路后迎来了转机。

术后病理
神经节胶质细胞瘤WHO1级。这种低级别胶质瘤如果在手术全切后,预后很好,复发率低,避免了癫痫反复发作导致的脑损伤,病人可正常工作生活。

“巴教授您好,我是您的小患者。非常感谢您在4年前用一场手术使我重获新生,不再受病痛折磨。在这里我想感谢当时医护人员在我住院期间给予的关怀耐心与热情,特别感谢巴教授您用那双妙手为我施行了手术,您的医术让我深感敬佩,这份感激之情将永远流淌在我心中,祝愿您事业蒸蒸日上,家庭和谐美满,身体福寿安康。”
巴教授在收到艺文的感谢视频后查看了女孩新的核磁,并进行了详细的回复:
没有肿瘤残余,也没有复发现象。我也很高兴看到病人的视频,并相信她状态是非常很好的。我还要感谢她温馨的问候。在我看来,我建议每2-3年进行一次定期的核磁共振检查。

看到这样的情况,真心为艺文感到高兴!也祝可爱的女孩在未来的日子里继续向阳而生,勇敢快乐得闪闪发光。
为何对于功能区手术,我们要有敬畏之心?
人类大脑分为两个大的、独立的半球:一个在左侧,另一个在右侧。大脑半球由神经纤维束连接,这些神经纤维将信息从大脑的一侧传递到另一侧。这些束中最大的一束形成了大脑半球之间的桥梁,称为胼胝体。

顶叶位于大脑顶部,紧邻额叶后面。它们整合来自皮肤的感官信号、处理味觉并处理某些类型的视觉信息。
枕叶位于大脑后部,处理视觉信息,负责识别颜色和形状,并将它们整合到复杂的视觉理解中。
在这些区域之上的是躯体感觉皮层。视觉皮层则位于这些区域之后。
……
因此,为什么神经外科手术要求艺术般“精雕细琢”,不仅要把大脑病变的地方切除,还要还原它原来的样子,这样它才能恢复原来的功能。
INC巴教授常说:神经外科手术是一门“艺术”,需要“心、技、体合一”。

图来自2012年苏黎世神外大会巴教授专题演讲PPT截图
神经外科医生首先需要像工匠一样,通过经年累月地积累训练自己的技能。但同时,也要将自己的哲学、内在精神态度融入手术中,这才能称为艺术。

注:以上案例发布内容已征得本人同意,个人经历分享不构成诊疗建议,不能取代医生对特定患者的个体化判断。
- 文章标题:胶质瘤全切术后还会复发吗?揭开大脑功能区的神秘面纱
- 更新时间:2024-10-31 16:52:30
400-029-0925




