2025年6月,10岁的安格因呕吐查出一个位于后颅窝约3.1cmx3.6cmx5.0cm大小的肿瘤,占据第四脑室,导致脑积水。很快,安格接受了内镜下第三脑室造瘘术(ETV),并在4天后进行了后颅窝开颅手术。手术结果十分理想,医生在内镜下全切肿瘤。术后,安格的恢复情况也非常好,仅有右侧眼球内收受限的问题,但如今已能正常上学和运动。
然而,看似成功的治疗背后,却貌似隐藏着一场更大的“风暴”——半年后的一次复查,安格脑中竟突然多出了一些“小疙瘩”。难道是肿瘤复发或转移?可是为什么明明全切了也还是会复发呢?这些疑惑令安格家人心慌不已,为此,他们决定找专家问问……
“小疙瘩”究竟是什么
一份令人困惑的基因检测报告
一切似乎要从安格做完手术说起。医生将切下来的肿瘤组织送检,病理提示为低级别胶质瘤,但是,进一步的甲基化亚型分析结果却令安格一家诧异——安格的肿瘤甲基化分型与现有的数据库肿瘤亚型均未匹配,尽管明确临床意义的基因变异为CDKN2组合纯合缺失,但仍存在两个临床意义不明的突变,即ARFRP1错义突变、NTRK2-QKI融合。

这意味着,安格所患的低级别胶质瘤基本属于未知肿瘤,这份基因检测结果无疑为后续可能出现的进展埋下了“雷”,因为一旦肿瘤复发,安格很难找到有效的药物治疗。
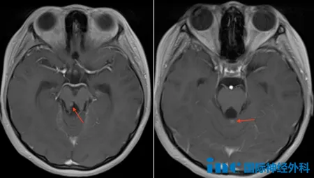
然而,事情似乎正在朝着坏的方向发展。半年后的一次复查,核磁上显示:小脑蚓部、右侧大脑脚异常强化灶大致相仿,双侧脑室室管膜下可见数个小结节,医生怀疑为肿瘤复发或转移。

为了找到答案,安格一家求助加拿大Rutka(鲁特卡)教授。很快,教授给出回复,而这份答案对于安格一家来说可谓是喜忧参半:
忧的是Rutka教授也不排除肿瘤残余或扩散的可能,其中右脑室周围和小脑蚓部的肿瘤结节,可能是原发性后颅窝大肿瘤的残留;但是,如果双侧侧脑室结节确实存在,那么它们很可能是肿瘤转移的迹象。
喜的是目前这些小结节并不大,有些甚至在核磁上也看不清,因此,如果想要确定肿瘤真的发生了扩散,安格可以先进行脊髓MRI检查。而对于后续的治疗,教授也给出了具体的建议。

低级别胶质瘤也会扩散吗
Rutka教授研究揭示预后
低级别胶质瘤(PLGG)是儿童中最常见的中枢神经系统肿瘤。尽管大多数肿瘤进展缓慢,预后良好,但部分孩子的肿瘤仍会不明原因地在整个中枢神经系统内扩散,导致发病率和死亡率增加。
安格的情况在国际上并非独有,为了更好地理解这一罕见且难治的疾病以及与中枢神经系统肿瘤弥漫扩散相关的特征,Rutka教授及团队组建了一个大型国际队列(n=269),收集了弥漫性低级别胶质瘤患儿的详细临床及分子学资料,包括DNA测序和甲基化组分析。
根据弥漫扩散的时间和空间分布,Rutka教授将患者分为三个亚组。其中,无原发肿瘤的弥漫性脑膜下肿瘤以及发生在婴儿期的肿瘤预后最差。其基因特征与未弥漫扩散的低级别胶质瘤高度重叠,这说明非遗传机制在肿瘤弥漫扩散中起到重要作用。
在治疗方面,相比常规化疗,针对RAS/MAPK通路的靶向抑制作为一线或二线治疗更为有效。总体而言,该队列研究增强了对这一罕见疾病的临床和生物学理解,为改善患儿管理提供了参考,并为未来的临床试验和基础研究指明了方向。

接下去该如何治疗
安格一家得到的建议
还记得安格那份特殊的基因检测报告吗?在Rutka教授看来,只存在CDKN2A/B突变也许并不重要,但当它与NTRK2-QK1融合变异同时存在时,这种突变组合可能会增加肿瘤早期向高级别肿瘤转化的风险。因此,了解这种NTRK2融合变异在基因中的具体位置非常重要,只有这样才能判断其是否具有实际意义。
因此,安格可以在接下来的2-3个月内进行早期MRI监测,一旦证实肿瘤扩散或生长,可以尝试靶向治疗,而标准化疗和放射治疗可以等以后再尝试。
尽管目前还没有针对CDKN2A/B突变的药物,不过,确实有一些药物是针对NTRK突变的,包括Larotrectinib(Vitrakvi)、Entrectinib(Rozlytrek)和Repotrectinib(Augtyro)。其中Larotrectinib已在多项研究中被证实,对于具有TRK融合变异的患儿来说有着良好的控制率和安全性。


案例来源:鲁特卡教授咨询案例
- 文章标题:明明儿子的胶质瘤全切了,为何复查还会出现多个“小疙瘩”?
- 更新时间:2026-01-29 10:19:01
400-029-0925




