胶质瘤是癌症吗?是绝症吗?
得了胶质瘤预后能活多久?
可以长期生存吗?
有人获治愈吗?
……
脑胶质瘤是指起源于脑神经胶质细胞的肿瘤,是较常见的原发性颅内肿瘤,2021年版WHO中枢神经系统肿瘤分类,将脑胶质瘤按恶性程度分低级分为I~IV级,其中I~II级为低级别脑胶质瘤,III~IV级为高级别脑胶质瘤。

国内外有众多学者就胶质瘤级别、切除程度与预后生存期和生存质量的关系进行过统计研究。
结果表明:
低级别胶质瘤(如:毛细胞型星形细胞瘤、少突胶质细胞瘤、室管膜下瘤等)顺利全切,预后患者通常可解除或缓解术前症状,获得长期生存的更好治疗效果。

高级别胶质瘤较大水平顺利切除,预后患者通常可缓解术前症状;降低肿瘤细胞负荷;明确病理诊断,为辅助放/化疗创造条件;延长术后复发时间和生存期。

得了这些脑胶质瘤有望获“治愈”或长期生存
毛细胞型星形细胞瘤
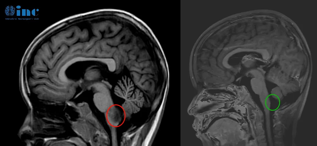
毛细胞型星形细胞瘤,俗称毛星,是一种生长缓慢、边界明显、可伴囊性特点的良性肿瘤,WHO I级,经全切可获治愈,中位生存期达40年,复发几率较低。毛星好发于儿童和年轻人,若肿瘤较小,且病人无临床症状,也可密切随访观察,暂不治疗。当毛星发生于视路(视神经、视交叉、下丘脑)、脑干时,手术难度较大,很多时候甚至被视为不可手术、只能放化疗。
毛星好发部位包括:视神经;视交叉/下丘脑;丘脑和基底节;大脑半球;小脑;脑干(背外侧)
毛细胞型星形细胞瘤的治疗可以根据具体病情选择:神经外科显微镜下切术、放疗或随访观察。INC国际神经外科专家主张应该进行成功的全切或近全切手术,这是治疗脑瘤、延长生存期较合适的方法。
巴教授毛细胞型星形细胞瘤手术案例
1、6岁男孩——脑干-延髓毛细胞星形细胞瘤
病情分析:偶然发现脑干占位性病变,一开始国内手术,考虑到手术风险,只切除了较小部分的肿瘤组织。复查核磁提示肿瘤进展,医生建议化疗。
治疗难点:所处位置在人体的“生命中枢”脑干-延髓之上,延髓控制着人体的吞咽、呼吸登基本功能,一旦等待肿瘤长大,占位效应会更加明显。手术的风险也较大,想要尽可能切除肿瘤又不伤及正常的脑组织,对于主刀医生的技术要求高。
手术结果:巴教授顺利近全切肿瘤,术后三天查房交流清晰、肢体抓握能力正常、术后食欲正常,术后两个多月,孩子正常回归学校。

点击阅读完整案例:【INC巴教授示范手术】6岁男孩脑干胶质瘤近全切、无肢体瘫痪,术后2月顺利回归校园
2、9岁女孩——丘脑毛细胞星形细胞瘤
病情回顾:头痛、四肢无力、频繁呕吐,检查结果显示:右侧丘脑占位。
治疗难点:丘脑较大肿瘤,皮质脊髓束(负责人体肢体运动的神经传导束)受压,脑室扩大,手术风险大。
手术结果:James T.Rutka教授顺利全切肿瘤,预后无并发症、没有复发,对孩子的成长发育和智力没有造成任何影响。

点击阅读完整案例:9岁丘脑胶质瘤患儿全切获得更好疗效实录:这个儿童医院的教授的确不一般!
3、5岁女孩——脊髓-脑干毛细胞星形细胞瘤
病情回顾:右侧肢体无力伴有吞咽困难2月,伴有呕吐、头痛。为了减轻脑积水,于某医院行右侧脑室腹腔内分流术,行MR提示脑干胶质瘤、脊髓胶质瘤。症状加重趋势明显。如不手术,孩子将有生命危险。
治疗难点:脑瘤较大、病变范围广,位于脑干延髓一直延伸至颈5节段脊髓,这是人的呼吸、循环、颅神经、肢体功能等众多神经核团及传导束所在部位,想要较大水平全切肿瘤并保护众多神经核团及传导束难度较大,可能面临脑干水肿、呼吸功能障碍、后组脑神经功能障碍、脑积水,严重者有意识障碍、肢体瘫痪等并发症,也正因此,国内医生均表示风险太大,无手术机会……
手术结果:巴教授主刀,肿瘤次全切(95%以上)。术后ICU留观1天,神志清楚,完全自主呼吸,拔除插管,生命体征平稳,转入普通病房。患儿右侧肢体活动度、肌力较术前明显好转。术后1周,患者下地自行行走,无手术并发症出现。术后3周出院,术后2月可如同龄患儿生活。术后3年,琦琦可以像正常孩子一样玩耍。

点击阅读完整案例:3年前,新华社、解放日报等各大媒体重磅报道的“脊髓-脑干”胶质瘤女孩如今恢复怎么样了?
4、14岁男孩——脑干-中脑顶盖毛细胞星形细胞瘤
病情回顾:脑干肿瘤,并伴有梗阻性脑积水,脑室及大脑实质已经受压变形。咨询了很多专家。“每次都说毛细胞星形细胞瘤一般不长,观察就行,但是我然后一次去找他们,我说症状太重,做手术,他们和我说实话,因为做手术风险过大,所以说建议你观察……”这一拖就是2年多,孩子的病情越来越严重。
治疗难点:脑干肿瘤增大,脑积水明显加重,双侧脑室进一步扩大,脑实质压扁。且肿瘤基底部和脑干关系密切、紧邻小脑。
手术结果:术中教授在保全患者正常功能神经和脑干等重要脑组织的前提下,完成肿瘤近全切手术,术后无新发长期性后遗症。小永还凭借的中考成绩,考入国内高中,其中体育成绩还获得了满分,完全看不出来他以前做过开颅手术。

点击阅读完整案例:脑干胶质瘤伴严重脑室扩张积水,德国术后1年半考入名校、体育满分
5、6岁男孩——视神经-毛细胞星形细胞瘤
病情回顾:头疼、视力下降,检查提示鞍上肿瘤,考虑“颅咽管瘤”,7月予以行鞍区肿块切除术,因肿瘤位于视神经,为保留患者视力仅活检手术。
治疗难点:一开始手术时,国内医生表示手术时发现是视神经胶质瘤,一旦切除,孩子就会失去视力。但随着肿瘤的生长,孩子仍可能视力不保。
手术结果:巴教授顺利近全切(95%以上)肿瘤,视力得以保留,悦悦也回归校园。

点击阅读完整案例:9岁男孩罹患“较大视神经胶质瘤”,失明危机下,INC巴教授如何全切、保住视力?
6、6岁男孩——小脑-脑干毛细胞星形细胞瘤
病情回顾:一场小小的交通事故后总是抱怨头晕,为明确有没有大脑损伤,担心后遗症,辰辰妈妈带他到医院做了核磁共振,结果竟然查出“小脑占位”。
治疗难点:右侧小脑半球见40mm*37mm大型肿瘤,肿瘤已经压迫四脑室和脑干,中线结构也开始左移。脑干是生命的中枢,几乎管辖着生命的。肿瘤压迫脑干,意味着生命中枢受到威胁。然而想要顺利手术铲除肿瘤难度更大,手术稍有不慎就可能出现瘫痪、长期昏迷等严重后果。
手术结果:巴教授顺利全切肿瘤,脑干得到充分减压,对中脑的挤压/移位压力明显减少,小脑组织大部分复位,术后2年半没有复发、无后遗症。

点击阅读完整案例:较大小脑-脑干胶质瘤全切术后2年半没有复发、无后遗症、获临床治愈
毛细胞黏液样型星形细胞瘤
毛细胞黏液样型星形细胞瘤是一种边界较清、缓慢生长的良性肿瘤,在2007年WHO分类中被归为II级,但在2016年的WHO分类中被归为I级。此类型脑瘤生长速度比毛细胞型星形细胞瘤快,常发病于婴幼儿群体。

毛细胞粘液样型星形细胞瘤多发生于下丘脑和视神经(视神经等),症状包括早熟、呕吐和视力不佳等。具有播种的特性,生长速度快,所以发现病变应尽早治疗。幸运的是,该类型肿瘤化疗比正常的毛细胞星形细胞瘤效果更好,但肿瘤随着年龄的增大,可能会分化为毛细胞型星形细胞瘤。考虑在某些情况下,肿瘤长大后可能需要手术切除,如果患者初期能接受手术治疗,要尽可能的早手术。
毛细胞粘液样型星形细胞瘤与毛细胞型星形细胞瘤比较

巴教授毛细胞粘液样型星形细胞瘤手术案例
3岁患儿如何摆脱脑瘤、拯救视力?
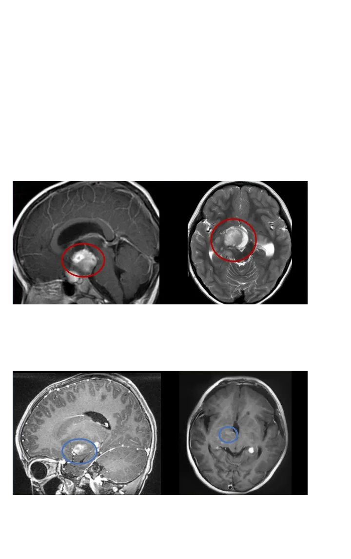
病情回顾:3岁的康康还没来得及长大看国际,就因患视神经下丘脑胶质瘤面临着失明风险。
治疗难点:由于康康的肿瘤累及视神经、视交叉、视束、视放射、丘脑底垂体轴、三脑室、脑底动脉环等,他出现了视力下降、头痛、呕吐等症状,随之而来的可能还有由内分泌异常引起生长发育异常、认知发育缓慢和心理、行为功能障碍,三脑室的肿块产生阻塞性脑积水等……
手术结果:在手术中,康康的肿瘤得到了顺利次全切,原有视力得到保留。术后病理结果为毛细胞粘液样型星形细胞瘤,这属于WHO 2级胶质瘤,也意味着康康配合术后化疗以及后期的新型放疗可以得到比预期更好的预后。
点击阅读完整案例:3岁患儿如何摆脱脑瘤、拯救视力?双侧视神经、下丘脑胶质瘤治疗记录

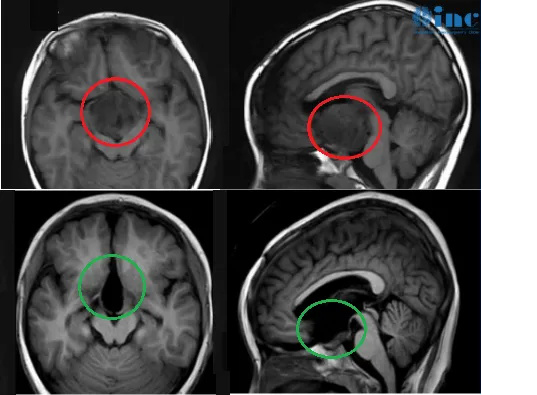
康康术前术后影像对比
室管膜瘤
室管膜瘤来源于脑室与脊髓中央管的室管膜细胞或脑内白质室管膜细胞巢的中枢神经系统肿瘤,在胶质瘤中占18.2%,属于WHO II级。男多于女,多见于儿童及青年,约75%位于幕下,幕上仅占25%。肿瘤大多位于脑室内,少数瘤主体在脑组织内。成年室管膜瘤患者预后5年和10年生存期分别为57%和45%,全切或近全切肿瘤是影响预后生存期的重要独自因素。

许多研究表明,完全手术切除可为室管膜瘤患者提供较大的治愈希望。因此,手术目标应为顺利条件下的全切除。实际上,有30%-50%的概率可以完全切除后颅窝室管膜瘤。为了提高后颅窝室管膜瘤的手术顺利性,神经外科医生可以利用术中神经电生理监测下颅神经和脑干通路以及进行神经导航。
巴教授疑难室管膜瘤手术案例
1、50岁男性——脊髓髓内室管膜瘤
病情回顾:50岁的刘先生,2年前因颈部及肩部疼痛就医检查出脊髓髓内肿瘤。由于肿瘤生长在高段颈髓内,被脊骨包围,手术暴露困难,术中脊髓稍受挤压损伤,就可能造成长期性瘫痪。很多医生都建议保守治疗。
手术结果:手术当天,在术中神经电生理监测等高医疗设备辅助下,巴教授顺利全切肿瘤,病例诊断结果为室管膜瘤。术后3天刘先生就可以下地自如行走,术前症状大多已消失,术后无长期性并发症,也无需其他辅助治疗。
点击阅读完整案例:不瘫痪、不复发!巴教授查房3次点赞精英男士战胜凶险脊髓髓内肿瘤

患者术后病理报告
2、28岁女性脊髓髓内室管膜瘤,术后3个月恢复正常生活
术前情况:28岁的潇潇6年前开始出现肩部至腰部疼痛,而两年前,潇潇肩部后侧疼痛加剧,于当地医院行磁共振检查,提示髓内占位性病变,保守治疗无效。2021年7月行增强磁共振提示C3水平占位,直径7mm。当地医院排除炎性病变。因考虑到手术风险大,未作手术治疗。2021年10月复查磁共振提示影像较前大致相仿。2022年6月磁共振提示大小约8*12*14mm。2022年10月磁共振提示8*12*19mm。

手术结果:2022年12月4日,苏州独墅湖医院,潇潇的手术顺利进行,巴教授顺利全切潇潇脊髓髓内的肿瘤,术后一天ICU查房,潇潇已经清醒,意识清楚,四肢能够正常活动。教授表示等到术后二天潇潇就可以转入普通病房,一些不舒服的症状,例如手麻等都是正常的,不属于术后并发症,后期能够恢复正常状态。
点击阅读完整案例:脊髓髓内肿瘤全切后无瘫痪,术后2个月行动自如、肢体灵活
高级别胶质瘤预后可获长期生存吗?
以胶质母细胞瘤为例
胶质母细胞瘤,是颅内高级别脑胶质瘤,属于WHOⅣ级,具有侵袭性高、易复发、致死致残率高等特点。《Journal of Clinical Neuroscience》有研究报道:总体预后中位生存期仅约15月,5年生存率约5%,10年生存率约2.6%,只有少数患者可以长期生存。
胶质母细胞瘤长期生存者的特点
大型群体研究发现,确诊时年龄较小,肿瘤较小、没有累及重要脑组织,手术全切,术后接受良好综合治疗,符合IDH突变,有较好的KPS评分等都是高级别胶质瘤长期生存者的特点。
所以,即使得了高级别胶质瘤不要放弃自己,找经验丰富的专家制定个体化治疗方案,配合治疗,生活依旧可以很美好。
胶质瘤手术治疗总结
在以往的案例研究中,低级别胶质瘤如毛细胞型星形细胞瘤、少突胶质细胞瘤、室管膜下瘤等,通常全切可获得长期生存的更好治疗,高级别胶质瘤预后相对较差,但较大水平顺利切除后,辅助系统的术后治疗,也有机会获得长期生存。因此,不管是低级别还是高级别胶质瘤,首先要寻求较佳的手术切除方案,达到尽可能地全切,较大水平控制肿瘤复发和提高预后效果。尽管有些胶质瘤长在脑干、丘脑、视神经或基底节等复杂位置,但在当前医疗技术水平下,国际专家已经能够突破“手术禁区”,尽可能实现肿瘤全切,为患者争取长期生存且确定术后生活质量的良好预后。
- 文章标题:得了胶质瘤“命不久矣”?这几种胶质瘤全切有望获长期生存
- 更新时间:2024-04-01 09:47:35
400-029-0925




