81岁的张奶奶不慎倒地。3个月以来,左半边脸麻木,走路也不稳,本以为只是年纪大了。没想到这一摔,摔进了医院,竟然发现脑子里面长了肿瘤。
“这么大年纪开刀,风险太大了吧!”

81岁高龄老人高难开颅术,如何4天出院?
高龄手术,哪些致命关卡在等着?
第一关:身体机能"电力不足"
老年患者就像一台年久失修的精密仪器,心脏泵血功能、肺脏氧合能力等重要"零部件"性能衰退,手术耐受性如同电量不足的手机,随时可能自动关机。
第二关:多病缠身的"连环雷区"
这类患者往往同时患有高血压、糖尿病等基础疾病,就像身体里埋着多个"不定时炸弹"。
第三关:术后恢复的"荆棘之路"
即使手术成功,恢复期仍危机四伏:肺部感染像隐形杀手潜伏在呼吸机管道里,深静脉血栓如同游走的"血管地雷",尿潴留等问题则像暗处的绊马索。
更凶险的是,这位患者的肿瘤位置特殊——已经压迫到脑干这个"生命总开关",稍有不慎就会造成灾难性后果。主刀医生不仅要有拆弹专家的精准手法,更要有全局意识。
点击阅读INC福洛里希教授高龄老人脑膜瘤案例:86岁高龄为何仍愿意坚定手术?INC福教授“双镜联合”让她安度晚年
对于这类复杂且高龄的脑膜瘤案例,INC旗下世界神经外科顾问团的一些成员教授正是极为擅长的,不仅需尽可能切除肿瘤,而且要保障手术安全性和术后并发症的控制。
张奶奶如何成功手术?
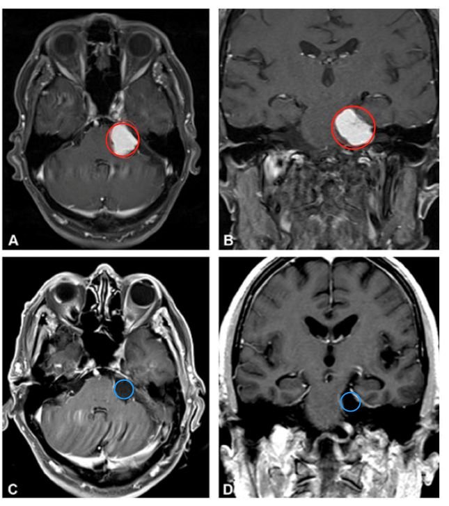
术前MRI:从脑幕下表面向左小脑桥脑角产生大的均匀增强病变,引起显著的脑干压迫,出现面部麻木和步态失衡
诊断:桥小脑角区脑膜瘤
手术方案:左侧乙状窦后开颅手术切除肿瘤
术后情况:手术顺利,脑膜瘤得以全切,没有新的术后神经功能缺损,脑干压迫消失。术后第4天出院回家,术后1个月,步态失衡和左侧面部麻木消失。其后到现在的4年间,随访未见脑膜瘤复发,老人一切生活正常。

(A、B为术前影像,C、D表示术后影像)
桥小脑角区手术复杂在哪儿?
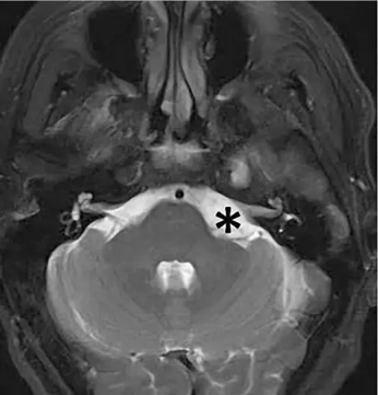
桥小脑角区(Cerebellopontine angle,CPA)是由前内侧的桥脑外缘、前外侧的岩骨内缘及后下方的小脑半球前外侧缘构成一个锥形窄小的空间,而锥交则正于岩骨尖。此区的重要性在于集中了听神经、面神经、三叉神经及岩静脉等。

图 1 *号所标位置附近即为桥小脑角区,此处可见
桥小脑角区多为轴外肿瘤,以听神经瘤常见,以及脑膜瘤,三叉神经瘤,另外可见胆脂瘤,蛛网膜囊肿,血管母细胞瘤,动脉瘤,海绵状血管瘤,转移瘤,以及发生于小脑及脑干的脑内肿瘤突入桥小脑角区。
桥小脑角(CPA)区脑膜瘤一般起源于覆盖在岩锥后表面的硬膜,位于三叉神经的外侧。Cushing和Eisenhardt在1938年最早将这类肿瘤描述为“伪听神经瘤”。大部分桥小脑角区脑膜瘤起源于第Ⅴ、Ⅶ/Ⅷ、Ⅸ和Ⅹ颅神经的后方,这些神经被肿瘤推挤向前方且与肿瘤之间存在完整的蛛网膜分隔,且肿瘤近中线侧还有丰富的血管结构。也正因其位置的复杂性,决定着手术切除的极大难度。
相关阅读:
- 天坛医院手术纪实 | 偶然发现、无症状,被体检报告“揭发”的脑瘤,切吗?
- 9年潜伏的“沉默杀手”:“血腥三角”CPA区肿瘤如何悄然压迫脑干直至变形?
- 小小CPA区脑膜瘤,长大横跨颅中后窝成巨大岩斜区脑膜瘤,越等越难根治!
- 脑膜瘤伽马刀治疗无效后还能手术吗?INC国际手术全切案例图解
手术风险大,可以进行放疗吗?
脑膜瘤是颅内常见的良性肿瘤,彻底全切是有效的治疗,但有时因为肿瘤临近或者累及重要血管、神经或脑组织等重要结构,患者在就医的过程中可能会得到:手术风险大,无法全切,甚至可能会出现一系列并发症。这时很多患者会问了,手术难度大,是否可以进行伽马刀治疗?对于生长或有症状的脑膜瘤,无论肿瘤级别是高是低,都应以手术治疗为优选。理论上手术切得更多,更能有效避免肿瘤复发。

图:现国际通行的Simpson分级预测脑膜瘤复发的关系
伽马刀可以作为手术后的辅助疗法,有时甚至是手术的替代方案,一般医院仅推荐用于海绵窦区等疑难位置。因为伽马刀不能直接解除肿块的占位效应、缓解神经症状、明确组织病理。建议患者尽力争取手术机会,切勿轻易选择伽马刀或其他辅助治疗方案。
伽马刀一般用于部分小瘤子,常伴有放射性神经损伤,脑膜瘤一旦超过3厘米,伽马刀容易造成颅神经损伤,导致脑水肿、肢体麻木无力、恶心呕吐、脱发等,且肿瘤易残留、易复发。对患者及家属来说,肿瘤残余、复发,就是噩梦的开始!

这要看具体病情、就医手术条件,放疗虽然不用开颅、不会流血,但不能彻底切除根治肿瘤。通俗来说,放疗就像把肿瘤暴打一顿、并没有“斩草除根”,还伤及许多瘤周神经血管等。如经济条件允许、生活质量要求高、有好的就医资源通道,选择“安全的全切手术方案”,为自己赢得更多的机会。
- 文章标题:“太危险,别做了!”81岁老人却勇闯三大生死关——脑膜瘤全切术后4天出院
- 更新时间:2025-07-28 16:05:23
400-029-0925




