脉络从乳头状瘤(CPP)是一种生长缓慢的良性肿瘤,起源于脉络膜丛上皮。它分别占儿童和成人颅内肿瘤的3%和0.5%。脉络从乳头状瘤的早期症状有哪些?...
脉络从乳头状瘤(CPP)是一种生长缓慢的良性肿瘤,起源于脉络膜丛上皮。它分别占儿童和成人颅内肿瘤的3%和0.5%。它通常发生在生命的前几十年和后几十年,但在其他年龄组也有报道。只有12岁以下的病例被纳入我们的研究。脉络从乳头状瘤常发生于儿童侧脑室,成人在四脑室;其他不常见的部位是三脑室和桥小脑角。在鞍上区,小脑和额叶也有报道。
脉络从乳头状瘤的早期症状有哪些?
脉络从乳头状瘤主要表现为颅内压升高,表现为头痛、呕吐和视力下降。大多数婴儿都有进行性头部肿大和过度哭泣。颅内压升高是由于脑脊液通路受阻导致脑积水,脑脊液产生过多,以及肿瘤引起的反复隐匿性出血,导致蛛网膜纤维化和粘连。我们的一名患者在囟门开放但较度紧张的情况下出现了完全的视力障碍和反复的屈曲姿势,这说明需要延迟这些良性肿瘤的治疗。因此,不能认为由于儿童的缝合线和颅囟是开放的,因此颅内压升高的后遗症,如失明(由于继发性视神经萎缩)和屈曲姿势(由于中枢神经轴突出)就不会出现。癫痫发作和精神改变可能是这些病变的临床特征,四脑室肿瘤也可能有小脑体征。据报道,桥小脑角脉络从乳头状瘤表现为脑神经缺损。我们研究中主要的临床特征是全部患者颅内压升高。
脉络从乳头状瘤的表现
脉络从乳头状瘤的经典CT表现为界限清楚、增强均匀、分叶状肿块,伴不规则的叶状模式,导致典型的菜花样外观,见于脑室肿瘤。肿瘤内常可见细小的斑点状钙化。MRI显示T1WI为低信号或等信号,T2WI为高信号,增强明显。几乎全部病例都有不同程度的脑积水。
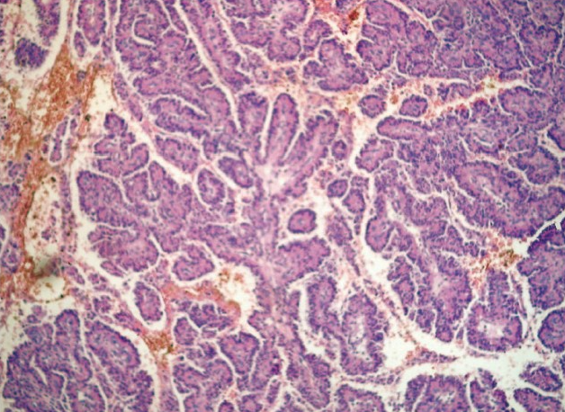
脉络膜丛乳头状瘤呈粉红色或红色球状肿块,表面粗糙,不规则,类似于花椰菜。血管性很强,有时还会有明显的钙化。显微镜下,它们类似于正常的脉络丛结构,显示由单层柱状或立方状上皮组成的乳头,内衬有血管化的结缔组织间质。镜下浸润、有丝分裂活性和多形性等特征应提高恶性肿瘤的可能性,即使一般结构提示分化良好的乳头状瘤。我们全部病例的组织病理学结果都是典型的脉络从乳头状瘤,没有恶性肿瘤的证据。

治疗方法选择手术切除肿瘤。完全切除应该是目标,而且通常是可以实现。由于预防出血是儿科患者手术切除这些病变时的主要考虑因素,因此在持续冲洗下对肿瘤进行温和凝血(缩小肿瘤并将其全部切除),优先于分段切除。
总结
脉络从乳头状瘤是一种儿童脑室内肿瘤,也可能发生在成人。颅内压增高是较常见的临床表现。在持续的冲洗下,肿瘤凝固,使病变远离周围的室管室壁,避免了手术期间的过度出血。在肿瘤切除的最后一部分,应充分处理供血的血管蒂,因为出血蒂的收缩可能导致脑室出血和脑水肿。术后,外部脑室引流可防止侧脑室病变中急性脑积水的发生,引流脑脊液的颜色可用于估计心室止血效果。在处理这些病变时,需避免自满和延误,因为这是颅内压升高的毁灭性后遗症——视觉恶化和屈曲姿势,尽管缝合分离和颅囟开放也可能发生。全手术切除通常是可实现的,发病率较低,并提供良好的长期预后。
相关参考资料来源:Doi:10.4103/1817-1745.49100
- 文章标题:脉络从乳头状瘤的早期症状有哪些?
- 更新时间:2021-06-24 10:38:13
-
国际儿科神经外科专家治疗案例交流...
2020-11-04 15:01:27
-
一名1岁男童,近3个月来有头颅增大及易怒病史,偶有呕吐。无发热、视觉障碍、语言障...
2022-06-14 17:13:34
-
脉络丛肿瘤(CPTs)是一种罕见的来源于脉络膜丛上皮的肿瘤,其中,脉络丛乳头状瘤(CP...
2024-12-02 16:51:50
-
海绵状脑血管瘤是脑血管畸形的类型,一般DSA较难发现,故又称隐匿性血管畸形。它并非...
2022-06-30 16:27:15
-
医生,我的孩子开了颅、取了瘤,怎么病情还恶化了? 星星妈妈,从影像上看,第一次术...
2025-07-23 13:39:50
-
巴教授可能是我较佳的选择吧,因为我的问题是这个这个跨区域的,跨区域的它涉及到神...
2022-12-20 20:37:45
-
这是一个6岁的孩子,本该拥有奔跑嬉戏、无忧无虑的童年,如今却被困在疾病的阴影中...
2026-01-13 10:34:45
-
C女士,年龄36岁,是公司的一名高管,近1年前发现右侧身体麻木,就诊当地医院,经检...
2021-02-01 15:09:38
-
脉络膜丛乳头状瘤(CPP) 作为一种良性乳头状肿瘤,主要出现在儿童的侧脑室。其中位发病...
2025-07-29 02:51:17
-
5年时间,12岁的小海终于卸下重担,与脑中巨大的脊索瘤说了拜拜。从此,他迈向新生活...
2025-10-29 11:24:46
-
胆脂瘤治疗中使用的每种手术各有利弊,目前尚没有任何手术可作为治疗中耳胆脂瘤的标...
2022-06-07 23:25:30
-
15岁的少年小桂从2周前开始备考,随着学习压力的增加,身体也越来越不舒服,头痛、疲...
2026-01-03 14:25:07
-
与疑难脑瘤抗争的故事 福洛里希教授,您好!我是在首都医科大学附属北京天坛医院请...
2026-02-04 10:23:14
-
居然从脑中吸出一颗荔枝,看似美丽的背后,却暗藏危机。 这是什么?先看看这个案例。...
2025-06-12 15:31:01
-
囊性结构、透明变性血管的出现以及低增生活性预示临床预后好。在绝大部分病例,肿瘤...
2022-06-15 22:04:26
-
有这样一句调侃:你脑子有泡吧?在医学上,人的大脑里确实可能出现一种类似水泡的结...
2026-01-29 09:45:00
-
得了脉络丛乳头状瘤怎么办?脉络丛乳头状瘤是一种少见的良性神经上皮脑室内肿瘤,可...
2021-07-20 10:32:54
-
孩子开颅手术后能恢复到从前吗? 开颅术后1年多,小欧的随访报告再一次带来了好消息...
2025-09-28 10:10:54
-
堂堂爸爸:再见,医生!我们堂堂终于平安出院了,希望他以后的人生再也不要跟脑瘤有...
2025-07-07 17:01:16
-
孕妇患脑肿瘤,对其本人、家庭及其医生来说都是一件意外的事。妊娠特定的生理变化不...
2022-08-09 10:27:58