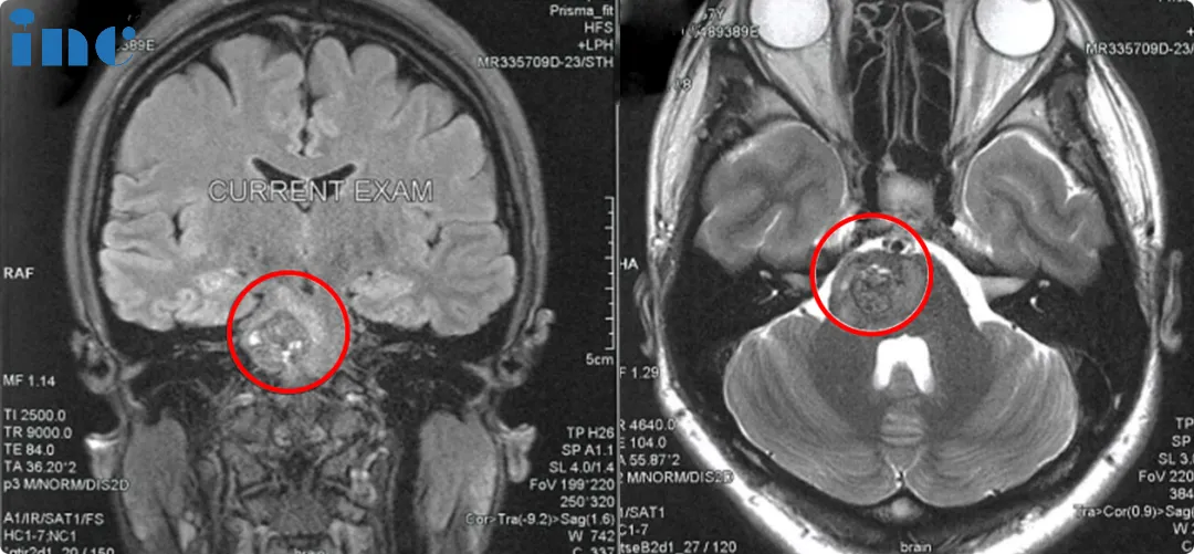
“海绵状血管瘤被切除了,所以健康的脑组织有膨胀,有点像海绵一样张开。这是正常的,海绵状血管瘤总是这样。但重要的是,它没有残瘤。”

2024年1月巴教授中国行期间,在苏州大学附属第四医院,一场远程视频随访正在进行中。视频对面正是远在香港的脑干海绵状血管瘤患者37岁的佩珊。而在她传来的随访视频中,我们看到她行走自如,步伐自信而坚定,面部活动自如,微笑、鼓腮、龇牙、眼球各向活动……术前担心的偏瘫和面瘫都没有发生。

2023年9月,巴教授在苏州为佩珊顺利全切手术。术后3个月时,由于远在香港,她选择了远程随访的方式。
一接通视频,我们便听到了佩珊熟悉的开朗的热情的声音。
“所以真的没有海绵状血管瘤了吗?”
“没有了,没有残留!”巴教授耐心解答着佩珊,用越发流利的中文回答她。
“那我就放心了,还有巴教授I love you!”
听到佩珊突然而来的“表白”感谢,巴教授及INC工作人员都笑了。回想起手术前那个焦虑、抑郁、寝食难安的佩珊,我们都为她的蜕变迎来崭新的生活感到开心。
从香港到苏州
终于找到了那个“救命恩人”
爱笑、热情、活力满满、在2023年巴教授9月中国行中,
从香港来的37岁脑干海绵状血管瘤患者佩珊曾给我们留下了深刻的印象。
然而在巴教授为佩珊手术前,
脑干海绵状血管瘤曾像一团梦魇一样的阴云,掩盖住了佩珊生活中的阳光。

手术风险大、可能会面瘫、瘫痪……
但是不手术,又随时可能脑干海绵状血管瘤再次出血。
焦虑、恐惧……生活陷入一片黑暗之中。
“为什么会患上这样的病?难道以后真的要等到偏瘫、面瘫以后才能手术?往后余生都要在疾病的煎熬中度过?无法像正常人一样生活……”
多方查询下了解到INC巴教授,在联系了INC之后,和很多患者一样,不知道巴教授是否真的可以成功手术。
而在其后远程邮件咨询、远程视频咨询,
巴教授一次又一次的肯定回复让佩珊逐渐坚定了寻求巴教授手术的决心。
从香港到苏州,佩珊终于在黑暗中找到了希望。
尽管尽快手术的评估又让她感到紧张,但是教授对于手术的信心让她充满期待。
“手术风险非常非常小
你不用害怕”
“我从香港过来,香港没有医生能够保障不偏瘫、面瘫,所以我们才来这里找巴教授,我就是害怕会偏瘫。也很害怕本身的压力会带来不好的结果。我太紧张了,有点晕了,这两天老是哭。”
手术前一天,虽然很信任巴教授,但是出于对手术的恐惧,佩珊还是很紧张。
感受到佩珊的恐惧,巴教授对佩珊再次说明:
”手术风险非常非常小,你不用害怕。“
巴教授也用中文告诉佩珊:“在病房有两个女生,我的病人,昨天以及前天的脑干手术,你可以看一看。”
他们都只是在ICU待了一天就回到普通病房了。看到他们之后你会有更多的自信。
图片巴教授为佩珊演示佩珊手术的切口入路位置,届时只会剔除耳后的少量头发,佩珊可以保留自己的长发,不影响术后美观
9月28日,一家人从香港远赴而来苏州,9月30日巴教授成功为佩珊顺利全切手术。
那头盘旋在佩珊头顶的阴云,终于消散了……
“巴教授您太帅了,I love you!”
手术后,那个爱哭、焦虑、恐惧的佩珊消失了,
曾经小太阳一样的她又回来了。
经INC巴教授成功手术后,不仅得到了全切
且最害怕的偏瘫、面瘫等也没有发生,也不需要后续放疗辅助,在ICU待了一天就出来了。
仿佛幸运之神降临
术后第3天,巴教授查房时,佩珊看到前来问候查房的巴教授时,手舞足蹈、开心比心。
兴奋的她激动得对巴教授“表白”感谢:“巴教授您太帅了,I Love you!”
巴教授也跟佩珊开心得比心。她的治疗路上充满挣扎和痛苦,但更多的却是驱散黑暗的明媚阳光。

而术后第3天,恢复良好的佩珊也来到INC镜头前,亲口诉说着一路以来的治疗心路
“我是出过一次血,就不想第二次出血,很害怕第二次出血。我那两个月都不敢推门,我老公帮我推门,觉得这样下去人生都没意思了。叫我不能大声说话、打喷嚏可能都会出血,感觉这样人生都没用了,我就一直在那里大声哭。就这样坚持了两个月。我从香港过来,香港没一个医生有把握能不偏瘫、面瘫,所以我们才来这里找巴教授。
“术后醒来第一件事就是动动手脚、眼睛,摸一下脸有没有面瘫。一切都很好,真的太神奇了巴教授。巴教授是我们女儿的救命恩人,我们现在很放心的。我感到很开心,我真的是太幸运了。真的感谢巴教授,很厉害的,真的救了我们,救了大家。”
——脑干海绵状血管瘤患者及家人佩珊亲诉
后记
“幸运”,是佩珊最常提到的一个词。而快乐、热情、感染力是佩珊给我们留下的深刻印象。
如果不能热烈得活着,那生活还有什么意义?这也是为什么患病后,佩珊坚定一定要手术,并且要顺利手术。
这不光是幸运,佩珊的勇敢和果断,是站在佩珊身旁的家人坚定给她支持,更是巴教授的精湛技艺,共同的因素让佩珊成功战胜了可怕的脑干海绵状血管瘤。
我们相信这样“绝处逢生”的故事,会越来越多。
注:以上案例供学术交流,不作为个别患者的医学诊疗意见。
400-029-0925




