INC巴教授手术效果好吗?能切多少?有后遗症吗?
2019年至今,巴教授多次来华进行示范手术,完成了百余台高难度脑瘤手术示范。一场场高难度手术,不仅是巴教授技术的体现,也是中德团队精诚协作的结果!INC也专门采访了巴教授中国手术团队的部分成员——手术一助苏州大学附属四医院(苏州市独墅湖医院)神经外科黄煜伦主任、肖宗宇主任医师,术中神经电生理监测师苏州大学附属儿童医院王勇强副主任医师,麻醉医生苏州大学附属四医院李健主任和侯长期副主任医师等……
而对于神经外科疾病患者,INC的一路陪伴,见证了TA们新生之路。让我们一起来听听TA们的心声吧!术后和术前对比起来,感觉怎么样?
脑干胶质瘤患者采访
30岁男性—桥臂胶质瘤

“当之前跟国内医生接触比较多,大部分都是说的较坏的情况,保守治疗,不要去冒进。但是巴教授说的有把握。
当天切除手术之后,手脚行动能力,还有面部的这个僵硬情况(都有好转)。面神经当天就跟我说,是已经保住了的。”
▼术后4天查房,韩先生在病房弹奏吉他感谢巴教授

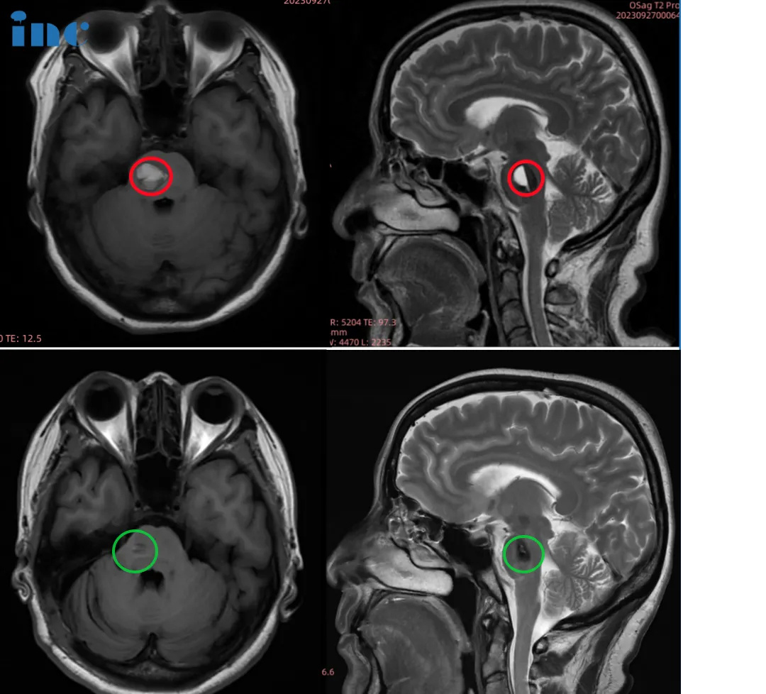
30岁男性—中脑顶盖胶质瘤

“我去了很多医院,也找了很多医生。但都告诉我,做手术的话,要么就是致残,致残率比较高,要么就是嘴歪眼斜的,生活质量不好。
对治疗结果相当满意,巴教授治疗后,我回到云南,去了医院复查,医生都说我这是一个奇迹。在他们看来是不可能完成的任务,但是巴特朗菲教授确实完成了。”
功能区胶质瘤患者采访
41岁女性—功能区胶质瘤
“当地医生建议是保守治疗。如果不进行保守治疗呢,如果是手术治疗呢,医生讲的较大的风险就在于一个是瘫痪致残,就是这样的一个情况,就是让我觉得看不到的未来。
出了手术室,当我清醒了以后,转入到普通病房。甚至比教授评估的预期的结果和效果还要好。然后,思维等各方面都是清晰,完全已经达到,或者是超出了当时的一个评估结论。术后一个月左右,完全正常的一个工作学习。”
▼术后1年,胶质瘤患者莫女士随访视频中,四肢灵活、行动自如、充满活力

疑难位置脑海绵状血管瘤患者采访
47岁女性—功能区海绵状血管瘤

“找了一些脑外科的专家,他们都看了片子说,你这个位置太深,而且现在没有症状,随访就可以了,不建议手术,做手术毕竟风险太大,但是有可能以后会引发癫痫。
(巴教授手术后)麻醉清醒后,突然说了一句英文——我自己也笑死了,我这个大概是大脑会潜意识的一种反应吧,我觉得就是想表达我对他的感谢。而且我在ICU没什么大问题,因为我当天就能讲话了,思路也很清晰,手脚也都能动。”
▼术后4天,邓女士已经下床吃饭,手术切口也恢复的好。

37岁女性—脑干海绵状血管瘤

“我就想我说我不想一辈子都是要保守,我说我想做,香港的医生不建议做。他说我这个地方风险很大,如果你准备好心态,如果做了有偏瘫、面瘫,你能接受就可以做,我肯定不敢。
手术做完一件事就是手脚、眼睛、摸一下那个脸,都没事,就觉得真的太神奇了巴教授。现在我觉得很好,四肢完全正常。听力也很好,眼睛、复视什么都没有,走路那些也挺好的。
▼行走自如,步伐自信而坚定,面部活动自如。

37岁女性—脑干海绵状血管瘤

“当时国内的医生跟我说,你要是58岁你可以做手术,68了你还做啥手术?给你做瘫了,你躺在床上两年,你就完蛋了。
您看我这个状态多好,我前天做的手术。我刚才还跟儿子说,到今天终于有了我这个瘤子被摘除了的那种很真实的感觉。我一会儿要好好看看巴教授的手,有力量的上帝之手,真的被上帝吻过的手。太开心了,终于就没有负担了,不焦虑了。我现在下床完全没有问题。”
▼术后2天,柯女士行走自如,神采奕奕,和常人无异。

18岁男孩—脑干海绵状血管瘤

“我们又到了北京,医生看了一下,说这个没法动手术的。只要动是90%以上会瘫痪。别说90%,50%我也不敢让他动,因为孩子才18岁。
原先他生病的时候喝水都漏,现在吃饭喝水啥问题都没有。所以巴教授的技术真的厉害,所以找到他我们也算是挺幸运的,真是有好多人真找不着。原来右边麻没有劲,现在右边也有力量了。说话也清楚了,没有大舌头了。现在状态明显比手术之前好,是好的结果。现在说话也清楚了,能卷翘舌了,数字也能说清楚,10和4。”
12岁女孩—脑干海绵状血管瘤

“刚开始的时候,只以为是一个流感。后面孩子已经变得很严重了,整个半身已经出现瘫痪的状态。120急救,送到儿童医院。脑干出血,医生说,这个过程其实是凶险的,因为孩子随时都有可能“走掉”。
我们是安排了早上一台手术,手术当天晚上,然后医院里安排我们跟她做了一个视频的,这个可以去视频看看他。她也能讲话了,所以我们那个时候就已经开心了,二天就出ICU了。你看我们小朋友今天这个各方面恢复的特别特别的好,所以特别感谢巴教授。”
12岁男孩—脑干海绵状血管瘤

"我在北京、上海各大医院求医,医生跟我说孩子做手术会瘫痪,有可能视神经、语言、吞咽功能都会受损。孩子后半生可能要将来在轮椅里度过,当时我觉得真的天都塌下来了,不甘心,真不甘心。
通过这次手术让我有很深的触动,觉得INC是在为中国的患者做好事,这几天我看到了巴教授一个个成功的手术案例,巴教授拯救了我们,给我们带来了生活的希望,所以我以后要把巴教授的手术推广给更多的患者,让更多的患者受益!再一次感谢巴数授和INC!”
52岁女性—脑干海绵状血管瘤

“如果这个问题是有把握解决的,还是应该趁早解决,而不是等到产生了不良影响。当然你要做这个建议,要有这个技术来确定,你有了这个技术你就有这个水平。跟教授交流时,他说这是一个常规的手术,而且他可以量化很多东西。我觉得如果风险是可以量化的,那么我们就可以判断如何选择。”
▼术后5天查房,金女士恢复良好,和前来查房的巴教授合影留念。

19岁男孩—脑干海绵状血管瘤

“我姐姐是全程都看的手术的直播,然后我姐当时就说巴教授,他的每一步分析的很细致,并且这个地方该怎么处理,那个地方要用什么东西处理啊。我姐有这么跟我讲,她说如果你能看直播,你要以一个三方的角度去看,才能感到这个人的厉害在哪。不止那个很细很细致的操作,而且全程她说能看得出来。一他很熟练二、他的细致三、他在这个细致和熟练过程中,他甚至还把这个东西教给别人啊。
一开始下地走路是手术后的三天,碰到地板的那一刻,有一种很神奇的体会。生病前觉得走路一点感觉也没有,但是那一刻一开始感受到了自己是一个完整的没有问题的人,我终于站着了,而且我还能往前迈步走。”
▼术后回归校园的阿朔

颅咽管瘤患者采访
7岁男孩—颅咽管瘤

“肿瘤本身的特点,它会压迫那个周围神经各方面的,与其到了后面更难做的情况下去做,还不如先把它做掉。顾虑其实就是两个,一个是垂体柄的保留,二个就是切除率。
他没住ICU,当天就出来了。巴教授出来的时候说:Perfect!我一听就激动得不得了。另外一个医生在旁边说,垂体柄保留的很好,我就觉得就很放心。这个手术是成功的,我觉得他真的是蛮好的,我们真的蛮幸运的。”
脑膜瘤患者采访
52岁女性—CPA区脑膜瘤

”我们之前也跑了很多地方。发现一个病灶以后,我们走了很多地方,很多医院认为手术风险很大,有些医院根本就没办法做手术。好的医院回复做下来以后较大的困难较大的问题是有后遗症,就是可能出现其他症状。二个就是切除不干净,那对我们来说这个情况就比较麻烦,所以一直在等。
我一直在这手术室外面等着,我爱人手术室出来以后,眼睛睁着,还要讲话那种……不像一个从这么重症手术出来的这么一个人,这个脸部好像各方面,就是我们原来从其他医院评估的这种症状都没有。她出来以后很清醒,在ICU里面就清醒,在里面状况就好。肿瘤基本上切除了,从我来讲能达到这个水平是开心的。“
像以上这样的患者还有很多很多……为什么这么多疑难脑瘤患者寻求巴教授手术?
颅脑及脊髓肿瘤、脑血管疾病等疑难手术患者,这其中多数寻求巴教授手术的病患家庭可能都会有着这样的经历,诊断初期,还没做手术时就被告知手术出现的各种可能并发症风险——脑出血、相应的神经功能损伤,可能出现肢体瘫痪、失明、呼吸衰竭常年靠呼吸机维持生命等可怕甚至不可逆的并发症。因此他们宁愿保守治疗,能不手术就不手术。还有一部分患者是在多次活检或者腰穿后,仍无法明确病情,进行下一步治疗的。当得知教授来华的消息,出现了新的生机和选择……当然也有一些患者是在就诊初期,就要寻求较好的手术效果而找到巴教授的。
400-029-0925




