偶然的头晕,万万妈妈以为孩子只是普通的感冒。然而,在医院拿完感冒药后,万万妈妈看到了不远处写着“神经外科”的牌子。鬼使神差之下,她转头问女儿:“你是不是头晕?我们去挂个号看看吧。”没想到这一次无心之举,万万却被诊断出了脑干病变。
小小的一次头晕,背后竟牵扯出如此严重的脑瘤“杀手”,而类似的情况却不在少数:萌萌在夜里突发呕吐,没想到是严重的脑干出血;乐乐偶然抱怨的头疼,一检查才发现是中脑被盖占位引起的梗阻性脑积水(中脑导水管梗阻);刚开始以为孩子只是简单的流感,病情却在1天内迅速恶化成瘫痪……而导致这些症状的“背后杀手”都有一个共同的名字——脑海绵状血管瘤(CCM)。
儿童CCM:大脑中的“爆米花”
提到“血管瘤”,很多人可能会联想到皮肤上凸起的肿块。然而,有一种血管瘤并不那么显而易见,它可能悄悄生长在大脑深处,这就是“脑海绵状血管瘤”。虽然它带有一个“瘤”字,却并非真正意义上的肿瘤,因此,它还有一个名字叫作“脑海绵状血管畸形”。
这是一种由异常扩张的血管组成的良性病变通常以散发性、孤立性病灶出现。这些血管像“海绵”一样,结构脆弱,容易渗血,也因此而得名。磁共振成像是诊断海绵状血管瘤的“金标准”,能清晰显示病变的典型“爆米花”样结构。
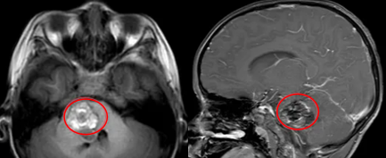
【点击图片查看案例】5岁的淼淼突现头向左倾斜、呕吐、斜视、行走不稳等症状。医生在淼淼脑干右侧发现了一个大小约29x26x28mm的病灶,诊断为脑干海绵状血管瘤。最终在巴教授主刀下,成功于2024年11月7日实现全切,如今已顺利回归校园。
然而,除了影像上的结构形似“爆米花”,脑海绵状血管瘤的另一个特性也十分像“爆米花”—— 许多人可能一辈子都不知道自己长了脑海绵状血管瘤,因为它可能完全没有症状,但是一旦出现症状,就极有可能是它长大破裂,还引发了严重的脑出血。
这也是为什么对于很多确诊的儿童来说,起初常因无症状或症状轻微而被误认为是感冒、流感,但病情却极有可能快速恶化,甚至在短短数小时内瘫痪、陷入昏迷。
【点击图片查看案例】7岁的萌萌在夜间突发呕吐,且有嗜睡症状。在完善了颅脑CT结果后竟是脑干出血!120紧急转至苏州大学附属儿童医院,11月6日,经过巴教授的成功示范手术,顺利全切脑干海绵状血管瘤。术后,萌萌的情况也一天比一天好,“去年期末她还得了三好学生,老师都很为她骄傲!”
警惕!不是所有头痛都那么简单
那么,儿童脑海绵状血管瘤还有哪些典型症状呢?实际上,它远不止头晕、头痛、呕吐这么简单……
(1)癫痫
如果血管瘤刺激脑组织,可能引发抽搐。即使影像学检查未发现明显的脑出血征象,患儿仍可出现癫痫发作。对于既往存在癫痫发作史的患儿,首次发作后5年内癫痫风险高达94%,远高于脑动静脉畸形。
(2)局灶性神经功能缺失
儿童脑海绵状血管瘤的永久性神经功能障碍发生率约为29%。如果海绵状血管瘤位于脑干,可出现一侧面瘫、对侧上下肢偏瘫症状;位于运动区,出血后可以造成对侧面瘫或上下肢无力;位于枕叶视觉皮层区者,可以造成视野缺损;位于海绵窦者可以造成面部疼痛、眼睑下垂、眼球歪斜等症状。
(3)自发性脑出血
脑海绵状血管瘤一个较为典型的表现为自发性脑出血。通常海绵状血管瘤引起的脑出血量较少且呈局灶性,与其他颅内血管畸形相比,神经功能损害程度较轻。然而,相比于成人患者,儿童脑海绵状血管瘤患者总体脑出血概率更高,且首次脑出血的年龄越小,随着年龄增长和病程迁延,再次发生脑出血的风险可进一步增加。首次出血率仅为0.6%-1.1%,而再次出血率则可高达30%-60%。
而且每出血一次,再次出血间隔缩短、症状也会呈进行性加重,能够恢复的可能性也越小。此外,发育性静脉异常还可因血管壁的先天薄弱及静脉压力的增加而导致反复局灶性出血。
脑干出血,如何预防?
对于很多家长来说,孩子确诊脑海绵状血管瘤时大多数还没有出现危急生命的症状,他们通常会问:有没有办法不通过手术治疗脑干海绵状血管瘤,防止脑干出血,例如药物?
遗憾的是,目前不动手术就无法治疗海绵状血管瘤。不存在任何药物,放疗也是不好的,首要的解决方式就是手术。脑干出血,凶如猛虎,而重点在于预防!
INC德国脑干大咖巴教授,拥有近400例脑干海绵状血管瘤手术病例,这些成功案例都是他40多年来一步一个脚印,不断创造“禁区奇迹”得来的。
而他在面对具有明显手术指征、但是却害怕孩子手术的家长们,也有着这样的建议:“手术应该早做,不做的话会永远带着恐惧生活。现在拿掉,就能恢复正常人的生活。而且这个疾病没有任何药物或是放疗可以根治,治疗就是手术。我做过很多类似的手术,有自己独特的手术技巧,可以安全切除病灶。”

【脑海绵状血管瘤】往期案例精选
●2次脑干大出血后无法行走,摆脱“脑瘤”的他上学、运动不在话下!
●从脑干出血到肆意玩耍,这场与“脑瘤”的较量,他赢得太光彩了!
●开颅术后1个月回归校园,拿下“三好学生”!谁都看不出她曾患脑干肿瘤
●“脑瘤”急性出血险送ICU,国际大咖的一句话将她从“鬼门关”拉回!
INC 国际小儿神外专家团
国际脑干手术大咖 Helmut Bertalanffy教授

教授擅长颅底、脑干病变、功能区、大脑小脑、脊髓等复杂位置的肿瘤性、血管性疾病的手术治疗,尤其擅长颅底、脑干等复杂区域病变的肿瘤切除术、神经吻合术等,脑干病变成功手术病例近千台,以精湛高超的手术技术不损伤神经功能且全切病变。巴教授历经千万个小时用超精确的物理剥除诠释了医术为何为艺术。
国际儿童神外专家 Concezio Di Rocco教授

自2014年5月起,Di Rocco教授就担任了德国汉诺威国际神经科学研究所(INI)的儿科神经外科主任。从事儿童神外事业50余年,Di Rocco教授尤为擅长小儿神经纤维瘤、癫痫、脑积水、蛛网膜囊肿、颅缝早闭、脑和脊髓肿瘤、脑和脊柱畸形(半椎体畸形,皮质发育不良,脊髓脊膜膨出,脊髓内脂肪瘤,Arnold-Chiari畸形等)难治病症方面的治疗,曾进行过12000多次神经外科手术。
国际儿童神外大咖 James T. Rutka教授

教授发表超过500多篇高影响力论文,在临床上的研究方向以颅内肿瘤为主,对胶质瘤、纤维瘤、颅咽管瘤、室管膜瘤具有多年的临床经验,擅长清醒开颅术、显微手术和被广泛用于治疗恶性脑瘤和癫痫的国际前沿技术激光间质热疗(LITT)技术经验,对于儿童胶质瘤,尤其是高级别胶质瘤开展多项临床试验,其所在的医院加拿大SickKids是国际知名的儿童医院之一。
- 文章标题:明明去看感冒,却在神经外科确诊——孩子脑中长了“爆米花”!
- 更新时间:2025-08-01 15:55:50
400-029-0925






