
随着体检中脑部CT或MRI检查越来越普遍,很多人在毫无症状的情况下,被查出患有偶发脑膜瘤。这种情况不仅给患者带来巨大的心理冲击,也对神经外科医生提出了一个现实问题:接下来该怎么...

脑膜瘤是最常见的轴外原发性脑肿瘤,占所有颅内原发肿瘤的13%19%。脑膜瘤的生物学行为高度依赖于肿瘤大小、解剖位置、与神经血管结构的毗邻关系及组织病理学特征。其具有渐进性及隐匿性...

脑膜瘤术后如何预防复发?这是很多患者关心的问题。其中WHOⅡ级的非典型脑膜瘤(atypical meningiomas)的生物学行为介于良、恶性之间,具有局部浸润的特性。 目前,临床推崇全切除(GTR)作为...

脑膜瘤是中枢神经系统肿瘤中,最具有特征性影像学表现的肿瘤。在X线和脑室造影的年代,检查结果仅起到提示作用。现在,影像学技术可以对脑膜瘤进行无创、准确地诊断,明确病灶与周围...

...

一提到脑肿瘤,很多人心里都会咯噔一下。但脑膜瘤,其实大多是良性肿瘤,安全全切后预后良好。 不过,一旦查出脑膜瘤,情况大不相同:有人是体检偶然发现,毫无症状;有人肿瘤不大,...

脑膜瘤是富血供肿瘤,血供可同时来自颅外和颅内循环系统。手术切除可能导致显着出血(平均200毫升2.2升)。栓塞术被提出作为一种有效的术前辅助治疗手段,旨在降低手术难度并减少并发症...

脑膜瘤复发时的症状主要取决于复发肿瘤的位置、大小和生长速度。症状可能与初次发病时相似,但也可能因对脑组织的压迫或神经损伤加重而出现新症状。 脑膜瘤常见症状可分为以下几类:...

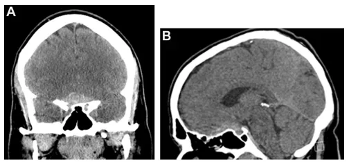
双胞胎双双查出脑膜瘤 同卵双胞胎,竟在相同罕见部位长出脑膜瘤这不是电影情节,而是真实发生的临床案例。 病理结果显示,二人肿瘤均为伴有血管瘤样成分的脑膜上皮型脑膜瘤,Ki-67增殖...

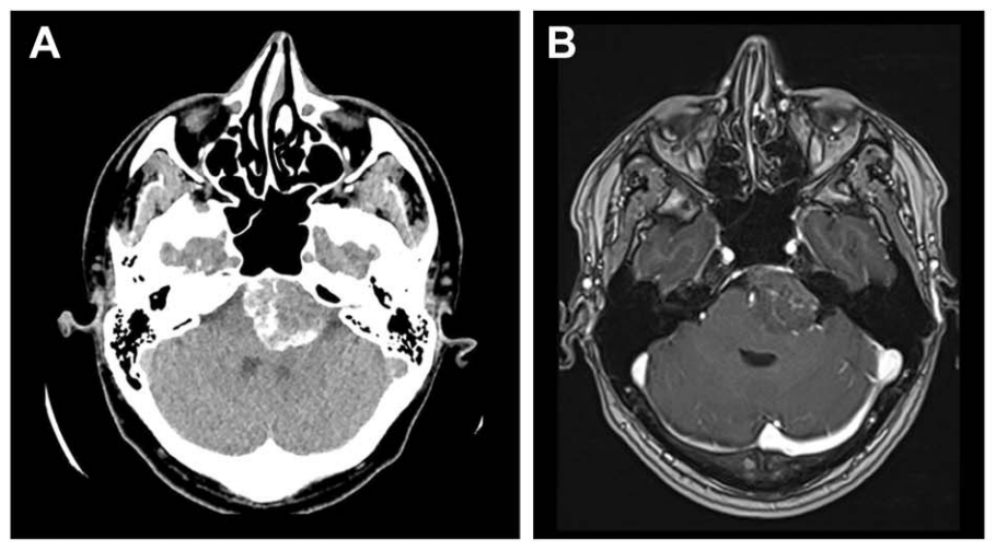
岩斜区位于颞骨岩部背面与枕骨斜坡部的岩斜裂汇合处,从岩骨尖至颈静脉孔。内侧至斜坡中线,外侧至第Ⅴ、Ⅶ和Ⅷ脑神经,上缘为鞍背,下缘为颈静脉孔水平;下方为枕骨大孔区。岩斜区脑...