男人的胸只是摆设?
它们看似平静,却暗藏玄机。
别再把乳腺当成女性专属——男性一样拥有完整的“装备”。
和女性类似,男性也有乳腺结构,包括导管甚至少量小叶,只不过它们长期处于“休眠模式”。
正因为此,大多数男性的胸部才显得如此低调。
可一旦体内的激素天平发生倾斜,
男性的胸部也可能悄然“觉醒”,甚至迎来发育。
雄激素负责克制,雌激素负责促进。
当这两者平衡被打破,
乳腺组织便可能被意外激活,
一些男性也因此意外发现胸部变大了。
比如这位40岁男性,居然胸部变大了!一查,鞍区长个肿瘤,这二者有何联系?

“我一个男的,胸部居然变大了”
竟然是脑子出了问题
我叫菲恩,今年40岁。一直以来,我都觉得自己是个普通的健康男人,直到最近,我的身体开始出现一系列让我不知所措的变化。
一切始于我的视力。不知从何时起,看东西变得有些模煳,我以为只是工作太累,没太在意。但紧接着,一阵阵莫名的眩晕袭来,有时甚至让我站不稳。最让我难以启齿的是——我的胸部,竟然开始像女性一样悄悄发育、变大。
这太奇怪了,也太令人尴尬了。我害怕,我不知道身体里到底发生了什么。难道我得了乳腺癌?
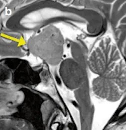
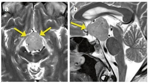
但是医生让我做头部检查,直到我做了MRI检查,答案才残酷地摆在面前:我的脑子里长了一个肿瘤。医生指着MRI图像(图a、b)告诉我,这个鞍上肿瘤已经压迫到了关键的大脑区域——向脚间池延伸并致中脑大脑脚受压变形。
原来,我所有的怪症状——视力下降、眩晕、甚至胸部的变化——全都是这个“不速之客”惹的祸。

为什么鞍区肿瘤会导致这些症状?
这个肿瘤压迫了菲恩的视神经通路和负责平衡的中脑,直接导致他视力下降和眩晕;同时,肿瘤干扰了垂体激素的正常调控,打破了他体内雄激素与雌激素的平衡,雌激素作用相对增强,从而引发男性乳房发育。所有这些症状,都是这一个肿瘤引起的连锁反应。
一台“高配”手术是如何实现的?
菲恩被安置于专用手术台(图c),INC巴教授经额底正中入路,在术中MRI(iMRI)辅助下行肿瘤切除术。

术后MRI证实肿瘤已肉眼全切(图d、e)。

手术未出现并发症,术后亦未见新发神经功能、认知或内分泌障碍。术后的局部美容效果良好,术后12天照片所示手术瘢痕已较为满意(图f)。

鞍区常见肿瘤包括垂体瘤、脑膜瘤、颅咽管瘤及嵴索瘤等;鞍上区域则以鞍结节脑膜瘤、颅咽管瘤及向上生长的垂体瘤较为多见。这类肿瘤通常需经开颅手术切除。由于鞍区位置深在、操作空间狭窄,且毗邻重要神经血管结构,术中易出现显露困难、牵拉损伤等问题,术后也可能发生多种并发症。
上方紧贴视交叉、视神经及下丘脑,一旦受损可导致视力视野障碍、内分泌紊乱及意识障碍;两侧紧邻海绵窦,其内穿行着颈内动脉海绵窦段及动眼神经(III)、滑车神经(IV)、三叉神经眼支(V1)、展神经(VI),损伤后可引发致命性大出血、眼球运动障碍及面部感觉异常;后方则为脑干及基底动脉,是维持唿吸心跳的生命中枢。
因此,成功治疗的关键在于术前精准规划手术入路,并要求术者具备娴熟的显微外科技巧与对鞍区解剖的深刻理解。
这一台手术巴教授采用的是额底正中开颅-纵裂入路(Frontobasal Midline Craniotomy and Interhemispheric Approach)。

【图示:中线入路时,患者取仰卧位,于发际后方作弧形皮肤切口(图a)。开颅呈对称三角形,骨窗下缘紧邻眶顶(图b)。经额叶纵裂可直达视交叉-下丘脑区及完整显露Willis环(图c)。】
该入路可提供下丘脑区域全景视野,既能垂直、对称地深入第三脑室,又可直达脚间池及鞍区。虽与眶颧入路同样费时费力,但美容效果同样满意。
哪些手术“神器”可为你保驾护航?
一场高难的脑瘤手术,就像一场惊险的山路驾驶:不仅需要经验丰富的“老司机”,更离不开一辆拥有高性能的“越野车”。只有两者兼备,才能在崎岖复杂的颅内“道路”上安全抵达目的地。
所谓脑瘤手术的“高配”,正是指:
在这场手术之旅中,巴教授凭借其精湛的显微外科技术和丰富的解剖经验,是手术成功的关键因素;而在此类手术中,常规采用的核心辅助手段包括:电生理监测、神经导航以及术中磁共振成像(iMRI),提供全方位的护航。
电生理监测
•体感诱发电位(SEP):所有病例均持续监测。若术中SEP波形保持稳定,可提示术野及远隔区域未出现明显缺血或其他脑功能损害。
•运动诱发电位(MEP):当肿瘤浸润中脑、基底节或丘脑时加做MEP监测。
•动眼神经肌电图(EMG):仅于肿瘤明确包绕或推移动眼神经时选择性使用;鉴于其可靠性有限,本组病例中应用较少。
•术中视觉诱发电位(VEP):因价值及稳定性欠佳,本系列病例未予采用。

【巴教授示范手术中一名患者的监测过程】
神经导航
对于体积巨大且深入间脑的占位,神经导航能帮助界定肿瘤边界,尤其在弥漫性胶质瘤中更具意义。然而,鉴于其精度可能受漂移等因素影响,巴教授并未完全依赖导航数据,而是通过识别下丘脑、垂体柄、视-颈动脉池、眶顶及第三脑室等固定解剖标志,持续维持术中空间定向。
术中MRI(iMRI)
术中核磁(intraoperative MRI,简称iMRI,又称术中磁共振)能够在手术过程中的任何时刻确定大脑内肿瘤的准确位置,使术中“实时”(real-time)成像成为可能,从而为神经外科医生提供了实时更新的脑部GPS影像地图,这样就可以非常精准地指导手术过程。


【示意图:术中iMRI成像。进行了术前皮质嵴髓束(CST)(粉红色)和术中(黄色)图像的纤维追踪:由于肿瘤切除后的移位,注意CST的不同位置非常重要】
•标准流程:麻醉及体位固定后,于皮肤切开前、术中关键步骤及肿瘤切除完毕时各进行一次扫描;成像结束后,患者无需搬离手术台即可复位继续手术。
•临床价值:
–多次在显微镜下难以察觉的残余肿瘤于iMRI上被及时发现;随后以最新影像重新校准神经导航,精确定位并追加切除。
–若iMRI已确认全切除,即可直接关颅,避免术后追加MRI检查。
术中神经导航为成功手术保驾护航,而作为整台手术的核心,主刀医生才是手术成功关键的因素。对于巴教授这样的神外大咖,需要像精密的工匠一样,通过经年累月地积累训练自己的技能。但同时,也要将自己的哲学、内在精神态度融入手术中,这才能称为艺术。对待每一个手术案例,巴教授都力求每一招每一式都尽力做到精细,力求做到全切肿瘤的同时极力避免神经功能损伤。
参考资料:Helmut Bertalanffy,et al.Surgical Treatment of Optic Pathway Hypothalamic Gliomas.Adv Tech Stand Neurosurg.2025:55:17-45.
- 文章标题:“我一个男的,胸部竟然变大了…” 一查才发现,问题出在脑子里!
- 更新时间:2025-08-23 11:57:38
400-029-0925




