17岁的琳娜多年来总是因为患有癫痫而自卑,她会在课堂上无意识地走神发呆,会在体育课上突然倒地抽搐,还会在睡梦中无意识地颤抖……吃再多的药物也于事无补,最终,是一场手术改变了琳娜的人生,自那之后,她再也没有被噩梦缠身,反而时常回想起当时的情景……
癫痫频发,她开始寻求帮助
多年来,琳娜总是被癫痫发作所困扰,与身体影响不同,对于琳娜来说,癫痫带给她的更多是外界的凝视。为了治疗癫痫,琳娜及家人前前后后跑了无数个医院,但药物治疗的效果始终有限,并未给她带来太大的改善。
就这样,琳娜不得不暂时与癫痫共存,并说服自己去习惯别人的目光。然而,她的癫痫却并没有打算与她“友好相处”。频繁的夜间发作令琳娜不堪其扰,甚至已经严重影响到了她的右臂。
琳娜的右臂无法正常抓握,于是,在父母的陪同下,琳娜再一次来到医院,而这一次他们找到了SickKids医院的Rutka(鲁特卡)教授,他对于儿童难治性癫痫有着丰富的临床经验。

多种技术探查,病灶竟是小囊肿
要想精准治疗癫痫,鲁特卡教授认为首先需要在术前进行精确的评估,而教授常用的术前评估技术包括磁共振成像(MRI)及脑磁图(MEG)。
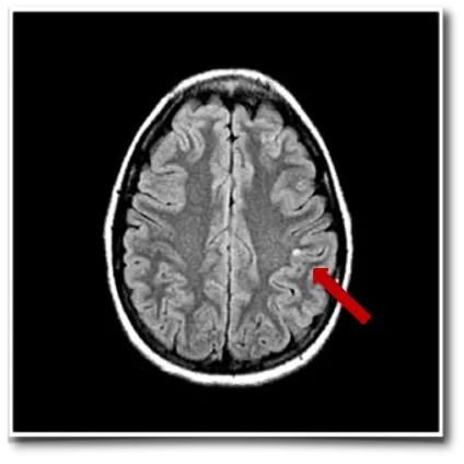
琳娜的MRI检查结果显示,在她的顶叶存在一个小的囊性病变,而这正是导致琳娜癫痫频发的病灶。

此外,脑磁图进一步在管理躯体感觉的中央后回区域捕捉到了异常的癫痫样放电。下图分别为琳娜在矢状位(左)和轴位(右)上显示的Rolandic区(中央区)棘波簇(黄色点带橙色轮廓)。

手术是治疗药物难治性癫痫(DRE)有效的手段之一,但正确的患者选择和致痫灶的识别对于成功治疗至关重要。为此,患者通常会接受一系列放射学、神经生理学和功能评估,然后进行多学科审查。
脑磁图(MEG)是这一评估过程中的有力工具,能够指导术前和术中的决策。MEG是一种神经生理学技术,用于测量大脑产生的微小磁场。
然而在临床实践中,它通常与磁共振成像(MRI)结合使用,创建磁源成像(MSI),将记录到的大脑活动映射到患者的三维解剖结构上。通过这种方式,MEG作为一种功能性神经影像学手段,特别适用于难治性癫痫发作的术前评估以及术中导航工具。
——鲁特卡教授
手术后,她5年无癫痫发作
经鲁特卡教授的综合评估,手术团队认为琳娜具备手术指征,在征得本人及家属同意后,琳娜终于等来了这场即将改变她人生的手术。
术中,在颅内电极监测下,得以精确定位致痫灶,随后,在鲁特卡教授的主刀下,成功施行了中央后回病灶切除术。手术十分顺利,琳娜并未出现新发神经功能缺损。
幸运的是,这一次手术的效果十分显著,术后的琳娜已经持续5年无癫痫发作,治疗效果非常理想,而琳娜也终于可以心无阻碍地开始享受自己的人生!
案例来源:INC国际鲁特卡教授沙龙演讲分享
- 文章标题:摆脱癫痫的这5年,我总是会回想起那场改变人生的手术……
- 更新时间:2025-11-07 11:32:27
400-029-0925




