
脑膜瘤约占全部脑肿瘤的13%-20%,占全部原发性脑肿瘤的34%-36.4%,使脑膜瘤成为较常见的原发性脑肿瘤。脑膜瘤仅占全部眼眶肿瘤的4%。在幕上隔区的病变中,蝶骨翼脑膜瘤约占全部脑膜...

脑膜瘤是较常见的颅内肿瘤。女性约占全部颅内肿瘤的38%,男性约占20%。[一]脑膜瘤也是大脑中较常见的轴外肿瘤,也是较常见的中胚层或脑膜来源的肿瘤。女性比男性更常见,通常在...

很多脑膜瘤患者会存在这样的侥幸心理:没有症状先不管,等有了症状再治疗。对于脑膜瘤来说,保守治疗很难让肿瘤变小。这种瘤虽然增长缓慢,但是不长的可能性较小。趁小趁症状...

什么是大脑凸面脑膜瘤?生长在大脑半球外侧面上的脑膜瘤被称为大脑凸面脑膜瘤,主要包括大脑半球额、顶、枕、颞各叶的脑膜瘤和外侧裂部位脑膜瘤,在肿瘤和矢状窦之间有正常脑...

脑膜瘤有长在脊椎里的吗?脑膜瘤是继多形性胶质母细胞瘤之后较常见的原发性中枢神经系统肿瘤。大多数脑膜瘤见于颅骨,但大约12%的病例发生在脊柱...

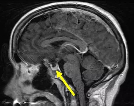
对于表现为脑膜瘤症状的患者,头部CT扫描经常作为较初的影像学检查,但头颅MRI平扫或增强扫描对诊断很有必要。发生在颅颈交界部的脑膜瘤(MRI扫描,矢状位[左]和轴位[右])称为枕...

戈弗雷·豪恩菲尔德爵士在1973年引入了计算机断层扫描,保罗·劳特布尔在1973年引入了磁共振成像,这开启了影像学在脑膜瘤诊断和治疗中的重要作用。脑膜瘤的影像学诊断通常依赖于...
具体来说,他们发现与GTR相反,采用近全切除(NTR)可以提高总生存率。全部患者都接受了EBRT治疗,有些患者还接受了放射外科手术或近距离放射治疗。朱克报告说,与单纯手术相比,E...

提到脑膜瘤,很多病人都关心的一个问题就是:脑膜瘤会遗传吗?...

脑膜瘤通常是生长缓慢的良性肿瘤,被认为是由蛛网膜帽细胞发育而来。脑膜瘤是怎么引起的?脑膜瘤的病因有哪些?...