脑瘤在脑子里面还能移动?
不可能吧!
这是一例极为罕见的儿童第三脑室室管膜瘤病例,由INC国际神经外科医生集团旗下组织世界神经外科顾问团(WANG)Henry W.S.Schroeder教授(施罗德教授)研究分享。
12岁男孩起初仅表现为头痛恶心,但病情急转直下——带蒂肿瘤突然脱落,像瓶塞般完全阻塞了脑嵴液循环的“咽喉要道”中脑导水管,导致患儿突发昏迷。医疗团队争分夺秒,通过神经内镜,在一次手术中同时完成了脑室造瘘疏通“生命通路”和肿瘤全切,最终化解了这场致命的颅内危机,术后五年随访无复发。究竟是什么情况?
头痛、恶心,12岁孩子怎么了?
我从未想过,一场看似普通的“小毛病”,会把我们拖入与死神赛跑的赛道。
“妈妈,我头太痛了!”
那是一个再寻常不过的日子,12岁的儿子昭昭开始说头痛,还时不时恶心。起初我们都以为是换季着凉或者吃坏肚子了,医生也按病毒感冒开了止痛药和止吐药。可第二天清晨,他趴在马桶边呕吐得直不起腰,一直和我说头痛的不行。
作为母亲,看到孩子这样,一刻也等不了了。我立马带着孩子去医院,直接住院。
“要做脑部检查?”我半信半疑的询问着,不是不相信他,而是不相信自己孩子脑子里面生病了。
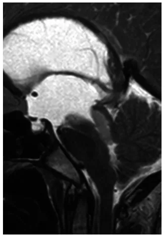
MRI检查结果出来的那一刻,我腿都软了。医生说孩子第三脑室后部有个从中脑顶盖长出来的强化病灶,正好堵住了中脑导水管这个脑嵴液循环的通道,已经形成了梗阻性脑积水(图1)。

图1.矢状位T2加权MRI显示第三脑室后部导水管入口处病灶。
“这个手术我们做不了,建议转院!”
我们直接转到施罗德教授所在的医院,准备第二天做内镜下第三脑室造瘘术,缓解脑积水,以及肿瘤活检术,这样就可以知道孩子脑子里面的是什么。
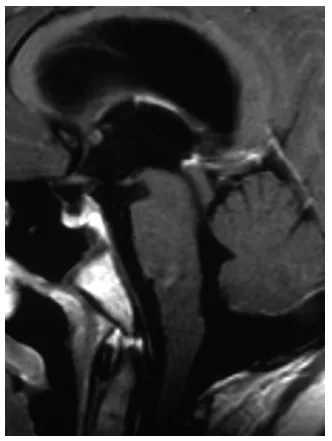
命运总爱开残忍的玩笑。就在入院当天,昭昭突然昏迷过去。急诊MRI显示,那个带蒂的肿瘤像瓶塞一样完全掉进了导水管(图2),造成了梗阻。医生面色凝重地说:“必须立即手术。”

图2.患者昏迷后急诊矢状位T2加权MRI,可见带蒂肿瘤深部移位至导水管内,造成完全性梗阻。
头上打个小孔手术,肿瘤没了,脑积水也好了?
手术室外的时间,是我从未有过的煎熬。
后来医生告诉我,他们在昭昭右额头发际线里开了个钥匙孔大小的洞,用神经内镜探进去,发现肿瘤果然像预想的那样卡在导水管入口(图3)。万幸的是肿瘤几乎没有浸润,像颗葡萄似的靠着细蒂连在脑组织上,被完整摘除后,脑嵴液就通畅了,也不需要外部引流。

图3.内镜下见肿瘤(T)阻塞导水管入口(箭头所示),后连合(P)与缰连合(H)清晰可见。
手术后,孩子的情况肉眼可见的好转了,一天比一天好,出院时也没有神经功能缺损。病理证实为WHO III级室管膜瘤,术后5天MRI显示肿瘤全切(图4)。

图4.术后2天矢状位增强T1加权MRI显示肿瘤全切,导水管通畅。
由于是恶性肿瘤,昭昭术后进行了放疗及化疗。
5年过去了,每次复查都显示“无复发”。我现在还常后怕:如果当时对“普通头痛”再马虎一点,如果手术时机再晚一点,孩子会发生什么…
案例来源

为什么这个脑瘤会移动?突然恶化
室管膜瘤是起源于脑室室管膜的神经上皮肿瘤,多见于10岁以下儿童。多数室管膜瘤发生于第四脑室,少数位于侧脑室,第三脑室起源者更为罕见。由于肿瘤位于脑室内,常因阻塞脑嵴液通路导致梗阻性脑积水而出现症状。
上述案例肿瘤源于中脑顶盖,急性移位至导水管深部导致导水管突发闭塞。无论顶盖肿瘤体积大小,均可能引发中脑导水管梗阻,继而导致脑积水。
根据Kernohan与Sayre的观点,顶盖肿瘤堪称人体内最小却能致命病变。然而通常颅内压增高症状进展相对缓慢。文献中仅少数报道提及松果体区、顶盖或导水管病变引发急性神经功能恶化及猝死病例,其中6例松果体囊肿因急性阻塞第三脑室脑嵴液流出道导致猝死。
这与常阻塞第三脑室流入道的胶样囊肿形成对比,部分病例可能与病灶内出血相关——出血可致病变迅速扩大,压迫导水管并引发颅内压急剧升高。
本病例中,施罗德教授观察到脑嵴液尾向流动产生的抽吸效应将肿瘤吸入导水管,导致室管膜瘤急性移位。患者本身存在脑积水基础,导水管急性闭塞引发颅内压骤升进而导致神经功能急剧恶化。教授认为图1所示阶段脑嵴液流动尚未完全阻断,肿瘤移位后脑嵴液循环才完全中断,这合理解释了病情的突发性恶化。当然,颅内压增高可能也促进了肿瘤向导水管内的移动。
本病例仅需在冠状缝前约2cm处行单骨孔入路,即可同时抵达第三脑室底及后部结构。术前MRI显示室间孔较大,便于内镜在孔内调整角度观察脑室底及导水管入口。尽管操作中存在损伤室管膜静脉或穹窿等敏感结构的风险,但通过谨慎置入和缓慢移动内镜可有效降低风险。精确分析术前MRI影像至关重要:若室间孔狭小,使用硬性内镜时需采用双骨孔入路,以避免静脉和/或穹窿损伤。
- 文章标题:一颗在脑内“游走”的恶性肿瘤,像瓶塞堵住生命要道,昏迷的12岁男孩如何苏醒?
- 更新时间:2025-10-24 21:22:13
400-029-0925




