
眼球突出通常是蝶骨嵴脑膜瘤患者的首发体征,但视力恶化也常被观察到。对于蝶骨嵴脑膜瘤及其他颅底脑膜瘤患者而言,脑膜瘤相关眼球突出可能对容貌和功能造成严重影响。脑膜瘤占良性脑...

脑膜瘤是最常见的中枢神经系统肿瘤,大多数脑膜瘤为良性、生长缓慢,但其发病率呈持续增长趋势。世界卫生组织(WHO)依据形态学标准将脑膜瘤分为3个级别(I级至III级)。基于人群的研究...

当时间被切割成一段段回忆,对于42岁的林先生来说,过去的12年是一场无休止的车轮战。尽管他面对的始终只有一个对手那个巨大、顽固的脑膜瘤,但无论他换多少种战术,结果似乎都只剩失...

这是一个关于脑膜瘤的悲伤故事 40岁,我的左眼看东西开始莫名其妙地模糊。和双眼近视不同的是,只有一只眼睛模糊,另外一只眼睛看得很清楚。 去医院检查下吧。一句无心之言,没想到真...

10岁时,她为战胜横纹肌肉瘤,接受了高剂量放疗。殊不知,这救命的治疗,却在脑中埋下隐患。12年前的影像(图B-C)已初现端倪,右颞叶放疗后白质损伤(圆圈)及原肿瘤区增生肉芽组织(...

你是不是没做手术? 工作、旅游、健身、带娃视频中的小宛(化名),用正能量填满了生活的每个角落。看着她精致的面容和那头乌黑飘逸的长发,任谁都难以想象,她才经历了一场高风险岩...

75岁的汉娜是个开朗的阿姨,随着年纪的增加她发现身体开始有些虚弱,起初汉娜以为自己只是老了,就没多想。然而随着时间的流逝,汉娜的走路也变得不稳,行走愈发不便,脖子也疼痛得很...

脑膜瘤钙化是什么意思? 脑膜瘤,当检查报告上写着脑膜瘤钙化时,很多患者一头雾水,这究竟是什么意思?部分患者认为只要出现钙化,脑膜瘤就不长了,就不需要手术了,事实真的是这样吗...

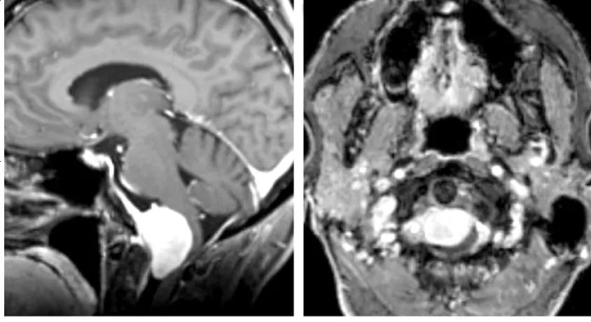
巨大枕骨大孔区脑膜瘤案例分享 脖子,堪称人体的生命要塞。 一旦被卡住了脖子,就被扼住了生命的咽喉,就像格斗高手遭遇致命锁喉,胜负就在唿吸之间! 而在大脑与嵴髓交接之处,就有这...

体检查出脑膜瘤该怎么办? 困境来临之前总是不声不响,我居然得了脑膜瘤 勤勤恳恳、努力工作,就是我。当正在码字的我,突然接到了一通电话 脑部CT检查,疑似脑膜瘤,建议做一个核磁。...