有多少正常人体检发现脑瘤呢?

当体检偶然查出脑瘤,是该庆幸早发现,还是懊恼早知道? 没有症状的肿瘤,像一颗不定时炸弹,不痛不痒,却让人寝食难安。“早晚要挨一刀,但什么时候才是最佳时机?”——这或许是每位意外查出脑瘤的人,最真实的挣扎。

2008年,一项关于近20.000名儿童与成人头部MRI中偶然发现的系统评价/meta分析显示,脑膜瘤是最常见的意外发现肿瘤,在MRI中的检出率为0.29%。研究还发现,包括低级别胶质瘤(0.05%)、脑海绵状血管瘤(0.16%)、听神经瘤(0.03%)、垂体瘤(0.15%)以及动脉瘤(0.35%)在内的多种颅内病变都可能被偶然检出,且这些意外发现的概率随年龄增长而递增。

数据来源:doi:10.1136/bmj.b3016
十年后的2018年,一项规模更大的研究对27.643名无症状成年人进行脑部和全身MRI检查,结果显示脑部重大意外发现率为1.4%,全身影像学意外发现总概率更高达3.9%。

无特殊症状,体检查出脑膜瘤有必要手术吗?

偶然发现脑膜瘤在INC国际教授的手术交流中很常见,他们会如何抉择——
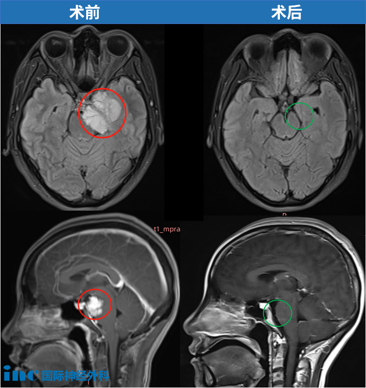
41岁周女士,体检发现的桥小脑角(CPA)区脑膜瘤。小小肿瘤却长得刁钻,和脑神经中最细的神经滑车神经、三叉神经间呈“橡皮膏关系”——黏得严严实实!此外,生命中枢的桥脑和中脑也受到压迫。不同于多数患者等到剧烈头痛、面瘫偏瘫才发现脑瘤,这份体检报告反而成了不幸中的幸运,让周女士在神经功能尚好时抓住了黄金窗口期,寻求巴教授示范手术,得以早早切除肿瘤。点击阅读:天坛医院手术纪实 | 偶然发现、无症状,被体检报告“揭发”的脑瘤,切吗?

36岁的小宛,也是在一次体检中偶然查出,肿瘤一直没有显现出任何症状,毫无存在感。面对这个“哑炮”,小宛没有过多犹豫就做出决定。在北京天坛医院,福教授为她成功手术——“我在ICU里面呆了4个多小时就出来了,第2天下床,第9天出院。没有剃头发,现在连伤口都长出了头发,完全看不到伤口了。”更为难得的是,术后一个月,小宛几乎恢复如初。点击阅读:天坛医院手术纪实 | 4.5cm脑膜瘤紧压脑干成功手术,勇敢辣妈的彪悍人生!

INC国际教授手术交流患者中,体检查出的,脑膜瘤病例占比最高,这一数据特征与上述研究结果高度吻合。
体检查出脑积水,症状加重再查已成胶质瘤
2016年,21岁的名校研究生张远(化名)在体检中偶然发现无症状脑积水,选择保守观察。2021年,头痛伴随眼球上视困难的神经症状。检查竟然发现:中脑顶盖区8mm占位性病变。2022 年 8 月张远病情再次加重,眼球活动受限,眼球向下运动困难,后脑勺偶然还会感到麻木或疼痛。复查磁共振提示肿瘤增大,此时肿瘤最大直径 12mm,一年半内生长4mm。然而,这个肿瘤不曾停止生长,2022 年 10 月复查核磁提示肿瘤增大,自行测量肿瘤大小约 18mm,两月内竟激增6mm!在一家人陷入恐慌焦虑之际,幸运的联系到了巴教授,成功手术。点击阅读:一台手术2个入路,一举歼灭脑干胶质瘤:研究生学霸术后2年半怎么样了?

体检发现RGNT,观察中却不断生长
30岁的晋然(化名)怎么也没想到,一次普通体检竟揪出大脑深处的“潜伏杀手”——第三脑室肿瘤。尽管最初活检显示为生长缓慢的菊形团胶质神经元肿瘤(RGNT)WHO I级,这颗被低估的“惰性炸弹”却在暗中加速生长,最终堵塞脑脊液循环通道,再次引发严重脑积水!
肿瘤质地如顽固的“橡皮膏”,不仅填满整个三脑室,更将脑深部静脉系统层层包裹!巴教授凭借毫米级操作逐步分块切除,最终借助神经内镜360°探查死角,确保无任何残余。点击阅读:体检查出良性脑瘤为何突然狂飙,真的可以「带瘤生存」吗?

体检发现脑瘤,好还是坏?
一、积极的一面("好"的方面)
早期发现
体检发现的脑瘤很多是无症状的早期病变,尤其是较小的良性肿瘤。早发现意味着更多治疗选择(如手术、放疗等),治愈率或控制率显著提高。
明确病因
若已有头痛、视力模糊等症状,发现肿瘤可解释病因,避免误诊为偏头痛、眼病等。
技术进步
现代神经外科发展大幅降低了治疗风险,许多脑瘤预后良好。
二、需警惕的方面("坏"的可能)
肿瘤性质
良性肿瘤(如脑膜瘤、听神经瘤、垂体瘤):通常生长慢,手术切除后可能治愈。
恶性肿瘤(如高级别胶质瘤):可能进展快、易复发,早手术早治疗,术后综合治疗。
位置与大小
即使良性肿瘤,若长在脑干、功能区(如语言、运动区),手术风险较高。
症状进展
压迫周围组织可能导致癫痫、肢体无力、认知障碍等,需及时干预。
为什么现在这么多体检查出脑瘤?
近年来,体检中发现脑瘤的案例明显增多,这一现象主要源于以下几个因素:
首先,现代影像学技术(如高分辨率MRI、CT)的快速进步,使毫米级的微小肿瘤都能被清晰识别;
其次,常规体检项目中头部影像检查的普及率显著提升,许多单位已将脑部CT/MRI纳入高管体检套餐;
再者,公众健康意识增强,主动要求进行脑部筛查的人数持续增加。值得注意的是,检出率上升并不意味着发病率激增,而是诊断技术发展让我们"看得更清"了。
最后,随着人口老龄化加重,肿瘤发病率升高。
就像用高倍显微镜观察湖水,不是微生物变多了,而是我们的观察工具更先进了。这也解释了为何多数体检发现的脑膜瘤、垂体瘤等都属于生长缓慢的良性肿瘤,它们可能已存在多年却未被察觉。我们在面对体检报告时既要重视,也不必过度恐慌。
- 文章标题:体检发现脑瘤,到底是好是坏?
- 更新时间:2025-07-18 15:53:32
400-029-0925




